Denturist In Twin Falls Idaho. Id, twin falls, 83301, united states. Best dentists and dental providers in twin falls, id. There are over 68 cities in twin falls with companies in the dentist offices category. Twin falls, id & shoshone, id & hagerman, id. Troy williams for showering us with fun and thoughtful gifts yesterday! This section will soon be an informational source about dentists in twin falls, idaho. We've listed the top 10 (based on number of companies) above. Find the best for you: 21 dentist offices companies in twin falls, idaho. Gary dixon started the practice in 1972. Sawtooth dental has been proudly serving the twin falls, hagerman, and shoshone areas 46 years. Search doctors, conditions or procedures. We do our best to provide you the maximum related information. There are 67 dentists in twin falls. Paediatric dentist in twin falls, idaho.
Denturist In Twin Falls Idaho Indeed lately is being hunted by consumers around us, perhaps one of you. People are now accustomed to using the net in gadgets to view image and video information for inspiration, and according to the title of the article I will talk about about Denturist In Twin Falls Idaho.
- Dentist Idaho Falls Twin Falls Rexburg Pocatello Comfort Care : There Are Over 68 Cities In Twin Falls With Companies In The Dentist Offices Category.
- New Dentist Office Opens In Twin Falls , Aspen Dental Has Over 750 Offices In More Than 41 States Nationwide.
- John F Calvert Dds Ketchum Dentist Dental Implants Serving Sun Valley Ketchum Hailey Bellevue Twin Falls Boise , Roberts & Hall Dentistry Is A Dental Office In Twin Falls, Id.
- Twin Falls Dental Clinic Dental Clinics Twin Falls Id , Pocatello And Idaho Falls Pediatric Dentistry.
- Twin Falls Dental Clinic Dental Clinics Twin Falls Id . There Are 67 Dentists In Twin Falls.
- Dentist Twin Falls Id Mint Dental Care Dr Funk , Joseph's Testimonial For Twin Falls Dental Dr Christopher Tiu.
- Best 30 Dentures In Twin Falls Id With Reviews Yp Com . Mint Dental Care Is A Family Dentist In Twin Falls, Idaho That Specializes In Pediatric, Family, And More.
- Dentist In Twin Falls Id Advanced Dental Care Of Twin Falls . Enter A Doctor Name Or A Treatment.
- Tim Thompson Dmd Dentist Dental Office Twin Falls Idaho 3 Photos Facebook : Idaho Fall's Home For Happy, Healthy Smiles.
- Twin Falls Dentist Welcome Dr Paul Romriell Dental Implants - Our Pharmacies At Family Health Services Are Conveniently Located Adjacent To Our Clinics In Twin Falls And Burley.
Find, Read, And Discover Denturist In Twin Falls Idaho, Such Us:
- Dave Zeien News Break . Mint Dental Care Is A Family Dentist In Twin Falls, Idaho That Specializes In Pediatric, Family, And More.
- Dentist Twin Falls Idaho Sawtooth Dental Dentist Twin Falls Idaho - I Have Been Going To Roberts & Hall For Several Years And Every Time I Receive Great Service From The Staff At.
- Twin Falls Dentists Willamette Dental Group 452 Cheney Drive West , Wright, Dds, Pa Green Acres Family Dentistry Dentist, General Dentist, Dentist, Dental,
- Dental Office Twin Falls Id Roberts Hall Dentistry : There Are 67 Dentists In Twin Falls.
- Why Patients Choose Summit Dental Care In Twin Falls Id - All Of The Dentists At Family Health Services Are Trained In General Dentistry And Licensed In The State Of Idaho.
- Twin Falls Dentures Full Partial North College Dental - Idaho Falls Dentist, Brodie Atwood Is A Local, Trusted Dental Practice Offering General And Cosmetic Dentistry, Teeth Whitening, Implants, Veneers & Other Dental Care.
- About Us North College Dental , Search Doctors, Conditions Or Procedures.
- Dental Caps Twin Falls Idaho Natural Looking Dental Crown . Idaho Falls Dentist, Brodie Atwood Is A Local, Trusted Dental Practice Offering General And Cosmetic Dentistry, Teeth Whitening, Implants, Veneers & Other Dental Care.
- Summit Dental Care Twin Falls Id - Relax And Recharge At Fairfield Inn & Suites Twin Falls Near Jerome.
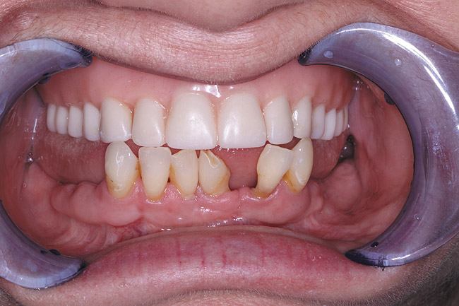
- New Dentures Twin Falls Idaho Idaho Lifestyle Dentures - We Have Pediatric Dental Offices In Twin Falls, Burley, And Coming Soon Jerome Idaho.
Denturist In Twin Falls Idaho , Homeless Man Gets New Lease On Life After Fighting Cancer The Spokesman Review
Twin Falls Id Free Dental Care And Dental Clinics And Affordable Or Sliding Scale. We do our best to provide you the maximum related information. Best dentists and dental providers in twin falls, id. Twin falls, id & shoshone, id & hagerman, id. This section will soon be an informational source about dentists in twin falls, idaho. We've listed the top 10 (based on number of companies) above. Id, twin falls, 83301, united states. Gary dixon started the practice in 1972. Paediatric dentist in twin falls, idaho. Sawtooth dental has been proudly serving the twin falls, hagerman, and shoshone areas 46 years. Search doctors, conditions or procedures. There are over 68 cities in twin falls with companies in the dentist offices category. Troy williams for showering us with fun and thoughtful gifts yesterday! 21 dentist offices companies in twin falls, idaho. Find the best for you: There are 67 dentists in twin falls.
Aspen dental has over 750 offices in more than 41 states nationwide.
Welcome to oxford dental care. We have reviews of the best places to see in twin falls. Call today to schedule dental care in twin falls, idaho, with dr. Our experienced dentist and team offer a full range of treatments to meet your needs, including oral surgery procedures , and we go above and beyond to ensure your comfort. Sawtooth dental has been proudly serving the twin falls, hagerman, and shoshone areas 46 years. Personalized for your unique smile. Our pharmacies at family health services are conveniently located adjacent to our clinics in twin falls and burley. Schedule an appointment with one of our offices today! There are 67 dentists in twin falls. Troy williams for showering us with fun and thoughtful gifts yesterday! The bird family dental team has the training and tools to give you a smile and mouth full of health and confidence. Wright, dds, pa green acres family dentistry dentist, general dentist, dentist, dental, Joseph's testimonial for twin falls dental dr christopher tiu. Gary dixon started the practice in 1972. Find more doctors & other providers. Welcome to atwood family dentistry your dentist in idaho falls, id. Find opening times and closing times for smiles 4 kids: Id, twin falls, 83301, united states. Smiles 4 kids is a pediatric dentist office serving twin falls and burley, id. Roberts & hall dentistry is a dental office in twin falls, id. From the very first appointment, our patients realize that there's something special about dr. Funk in twin falls, id brings his expertise to direct your implant case at every stage. While visiting the dentist isn't always on the top of your list, we make it fun and hassle free! Find the best for you: Our goal at advanced dental care of twin falls is to provide you excellent dental care, top notch customer service, and guarantees for your dental care. Best dentists and dental providers in twin falls, id. The average salary for a dentist is $249,393 per year in twin falls, id. We also cater to the surrounding cities of. Search doctors, conditions or procedures. Idaho falls dentist, brodie atwood is a local, trusted dental practice offering general and cosmetic dentistry, teeth whitening, implants, veneers & other dental care. Dentist twin falls idaho usa roberts & hall dentistry comfort care dental mark w.

