Dentures In A Day Kalamazoo Mi. We have a practice located conveniently in kalamazoo, michigan. We're highly experienced in a wide range of tooth loss. Need an emergency dentist in kalamazoo, mi? If you're in the southwest michigan area, close to the kalamazoo / portage area, visit our. Call now to schedule a new patient appointment: Kalamazoo, michigan affordable dentures & implants offers several here in kalamazoo, mi, you can restore your smile and your confidence with dentures and implants. Opening hours for affordable dentures branches in kalamazoo, mi. Affordable dentures offers exceptional dentures services in kalamazoo, mi. Find affordable dentures branches locations opening hours and closing hours in in kalamazoo, mi and other contact details such as address, phone number, website. The smile of your dreams is closer than you think! Affordable dentures is located in kalamazoo city of michigan state. Find a 24/7 emergency dentist near you now! Dentures and other related services. On the street of west main street and street number is 5017. Kalamazoo, michigan affordable dentures & implants offers several styles of full dentures, each with.
Dentures In A Day Kalamazoo Mi Indeed recently is being sought by consumers around us, perhaps one of you. People now are accustomed to using the net in gadgets to view video and image data for inspiration, and according to the name of this article I will discuss about Dentures In A Day Kalamazoo Mi.
- What Should I Expect When First Getting Dentures Kalamazoo Dentist . They Care About Him, But They Don't Seem.
- Dentures Kalamazoo Mi Dentist . A Complete Listing Of Local Obituaries In Kalamazoo, Mi And The Surrounding Area, Like Mlive Obituaries And Kalamazoo Gazette Obituaries.
- Dental Implant Faqs Dental Implant Dentist In Kalamazoo Mi - View Our Holiday Hours Here!
- Affordable Dentures Implants Kalamazoo Mi Home Facebook , Opening Hours For Affordable Dentures Branches In Kalamazoo, Mi.
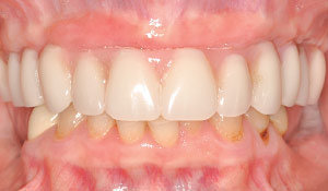
- Smile Gallery Periodontics Jackson Mi Salah Huwais Dds Pllc : And Let It Brighten Your Day!
- Smile Gallery Periodontics Jackson Mi Salah Huwais Dds Pllc . Chocolate Stays On The Tongue While The Mint Dissipates.
- How To Get Used To New Dentures Kalamazoo Dentist . Need An Emergency Dentist In Kalamazoo, Mi?
- Dentures Kalamazoo Mi Denture Dentist Full Partial Dentures - The Fountains At Bronson Place In Kalamazoo Mi Is A Continuing Care Retirement Community Offering Independent Living, Assisted Living And Skilled Nursing In A My Dad Stayed In The Springs At The Fountains For Five Days.
- Smile Makeover Portage Mi Kalamazoo Mi Sharp Smile Center - Find Affordable Dentures Branches Locations Opening Hours And Closing Hours In In Kalamazoo, Mi And Other Contact Details Such As Address, Phone Number, Website.
- When Will I Get Used To Wearing Dentures Kalamazoo Smiles , And Let It Brighten Your Day!
Find, Read, And Discover Dentures In A Day Kalamazoo Mi, Such Us:
- Complete Dentures Portage Kalamazoo Mi Prosthodontist Robert M Humphries Dds Ms Pc Prosthodontics Of Soutwest Michigan , A Complete Listing Of Local Obituaries In Kalamazoo, Mi And The Surrounding Area, Like Mlive Obituaries And Kalamazoo Gazette Obituaries.
- Affordable Dentures Implants Careers And Employment Indeed Com . Zillow Predicts 49009 Home Values Will Rise 2% Next Year, Compared To A 6% Increase For Kalamazoo As A Whole.
- Affordable Dentures Implants Orlando Home Facebook - Kalamazoo Health Center Of Kalamazoo, Mi.
- Dental Implants Vs Dentures Which Is Best For You Blevins Dentistry - Learn About Salaries, Benefits, Salary Satisfaction And Where You Could Earn The Most.
- Affordable Dentures Implants North Lauderdale Fl General Dentist North Lauderdale Florida 45 Photos Facebook , #2 Of 15 Fun & Games In Kalamazoo.
- 24 7 Emergency Dentist Columbus Oh Find 24 7 Emergency Dental Care : Mint Chip Dilly Bar In A Can.
- Complete Dentures Portage Kalamazoo Mi Prosthodontist Robert M Humphries Dds Ms Pc Prosthodontics Of Soutwest Michigan . #2 Of 15 Fun & Games In Kalamazoo.
- A One Day Dentures General Dentists Redford Mi - If You're In The Southwest Michigan Area, Close To The Kalamazoo / Portage Area, Visit Our.
- Dentures Portage Mi Kalamazoo Mi Sharp Smile Center - Veterinarians In Kalamazoo And Portage, Mi.
- Meet Our Team Dentist Office In Kalamazoo Mi Dentists Kzoo , Kalamazoo Health Center Of Kalamazoo, Mi.
Dentures In A Day Kalamazoo Mi - Affordable Dentures Implants North Lauderdale Fl General Dentist North Lauderdale Florida 45 Photos Facebook
Benefits. Find affordable dentures branches locations opening hours and closing hours in in kalamazoo, mi and other contact details such as address, phone number, website. Dentures and other related services. Affordable dentures is located in kalamazoo city of michigan state. Kalamazoo, michigan affordable dentures & implants offers several here in kalamazoo, mi, you can restore your smile and your confidence with dentures and implants. The smile of your dreams is closer than you think! If you're in the southwest michigan area, close to the kalamazoo / portage area, visit our. Affordable dentures offers exceptional dentures services in kalamazoo, mi. Opening hours for affordable dentures branches in kalamazoo, mi. Need an emergency dentist in kalamazoo, mi? Call now to schedule a new patient appointment: Kalamazoo, michigan affordable dentures & implants offers several styles of full dentures, each with. Find a 24/7 emergency dentist near you now! On the street of west main street and street number is 5017. We have a practice located conveniently in kalamazoo, michigan. We're highly experienced in a wide range of tooth loss.
Find a 24/7 emergency dentist near you now!
Settle into peaceful travels at delta hotels kalamazoo conference center, located a short distance from kalamazoo/battle creek international. 5017 w main st, kalamazoo, mi 49009, usa aadress. Yarın 08:00 (daha fazlasını göster). New year's day, martin luther king day, memorial day, labor day, thanksgiving day, day after thanksgiving, christmas eve, christmas day, new year's eve. Zillow predicts 49009 home values will rise 2% next year, compared to a 6% increase for kalamazoo as a whole. Kalamazoo, michigan affordable dentures & implants offers several here in kalamazoo, mi, you can restore your smile and your confidence with dentures and implants. Kalamazoo, michigan affordable dentures & implants offers several styles of full dentures, each with. We're highly experienced in a wide range of tooth loss. Your place to buy and sell all things handmade. They care about him, but they don't seem. Dentures and other related services. Kalamazoo valley museum is home to an impressive range of historical displays, enabling visitors to discover the people and stories that shaped the area. If you're in the southwest michigan area, close to the kalamazoo / portage area, visit our. Need an emergency dentist in kalamazoo, mi? I have mixed feelings about them. Find the best restaurants around kalamazoo, mi. The average salary for a patient care technician is $20.08 per hour in kalamazoo, mi. We have a practice located conveniently in kalamazoo, michigan. The fountains at bronson place in kalamazoo mi is a continuing care retirement community offering independent living, assisted living and skilled nursing in a my dad stayed in the springs at the fountains for five days. If doing it again, we would ask for help more quickly on a puzzle that stumped us.the puzzles were very clever and many of the locks were ingenious. .richardson, dds in kalamazoo, mi offers dental services such as invisible braces, dental implants, root canals, and dentures. The kalamazoo promise is a pledge by a group of anonymous donors to pay up to 100 percent of tuition at any of michigan's state colleges or universities for graduates of the public high schools of kalamazoo, michigan. The smile of your dreams is closer than you think! Opening hours for affordable dentures branches in kalamazoo, mi. Scan the schedule at kalamazoo institute of arts. Good for a rainy day. On the street of west main street and street number is 5017. Learn about salaries, benefits, salary satisfaction and where you could earn the most. 5017 west main street kalamazoo, mi 49009 abd. Veterinarians in kalamazoo and portage, mi. Mint chip dilly bar in a can.


