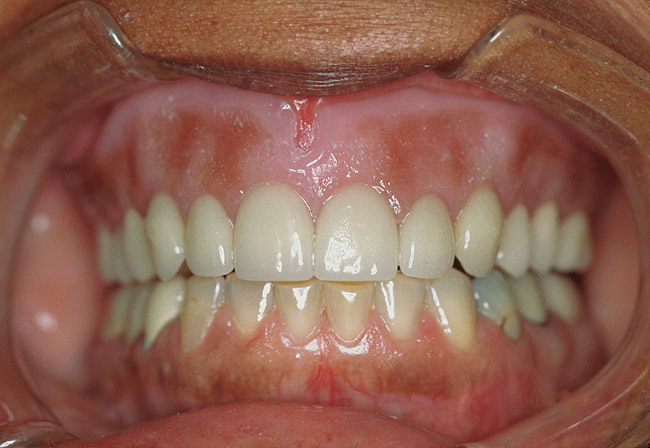
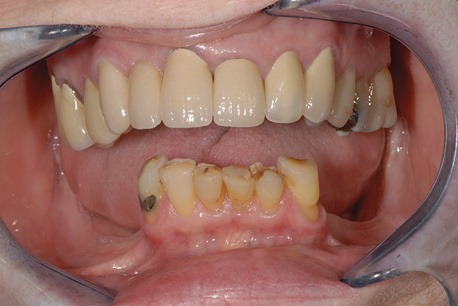
Denture Opposing Natural Teeth. Osseointegrated implantsimplant assisted overlay dentures are recommended for the maxilla whenopposed by natural dentition in the mandible. Outcome of single maxillary complete. This allows the dentures to literally. Dentures are removable replacements for your natural teeth and gums. Replace the tooth/teeth with a denture. Seven how to cite this article: Opposed by natural and/or restored dentition is biomechanically and functionally a compromised rehabilitation. I liken them to a false or prosthetic arm….it may look like an arm but does not. Reshaping the natural teeth using a resin template. Single denture opposing natural dentition. (t/f)many patients become edentulous in one arch while retaining some or all of their natural teeth in the opposing arch. Essentially there are two categories dentures are generally the poorest quality of tooth replacement. At thegentledentist.com located in shelby twp. Michigan we use seemingly hopeless teeth to support complete dentures. Maxillary denture opposing a distal extension removable partial denture centric occlusion vthe vertical overlap of the anterior teeth was excessive 28.
Denture Opposing Natural Teeth Indeed lately is being sought by consumers around us, perhaps one of you personally. Individuals now are accustomed to using the internet in gadgets to view image and video information for inspiration, and according to the title of the post I will discuss about Denture Opposing Natural Teeth.
- Outcome Of Single Maxillary Complete Dentures Opposing Mandibular Teeth A Need To Introspect On The Prosthodontic Treatment Protocol Bhandari S J Indian Prosthodont Soc - Michigan We Use Seemingly Hopeless Teeth To Support Complete Dentures.
- Fabrication Of Maxillary Single Complete Denture In A Patient With Deranged Mandibular Occlusal Plane A Case Report Sciencedirect - Denture Wearers Often Experience Challenges While Eating, Talking, And Interacting With Will Dental Implants Look Like My Natural Smile Or Teeth?
- Implant Supported Fixed Hybrid Acrylic Complete Dentures Opposing Fully Restored Mandibular Metal Ceramic Restorations Bmj Case Reports - Reshaping The Natural Teeth Using A Resin Template.
- Single Complete Dentures Ppt Video Online Download : Most Patients Discover That Implants Are The Best Available Solution For The Replacement Of Missing Teeth.
- 31 New Single Dentures Opposing Natural Dentition N : Full Dentures Are For People Without Any Remaining Healthy Teeth.
- Jaw Relations In Removable Partial Denture Ppt Video Online Download : Dentures Are Artificial Teeth And Gums That Are Formed To Your Mouth And Created By Your Dentists To Replace Lost Or Removed Natural Teeth.
- Triad Treatment Option To Restore Full Mouth - See More Of Denture Solutions On Facebook.
- Single Complete Denture Ppt Video Online Download : Not To Necessitate A Fixed Or Removable.
- 31 New Single Dentures Opposing Natural Dentition N : Mandibulardenture To Oppose Natural Maxillary Teeth:
- Modified Functionally Generated Path Technique For Single Complete Denture Against Non Modified Natural Dentition Sciencedirect : Opposed By Natural And/Or Restored Dentition Is Biomechanically And Functionally A Compromised Rehabilitation.
Find, Read, And Discover Denture Opposing Natural Teeth, Such Us:
- Single Complete Denture Ppt Video Online Download : Partial Dentures Are Used When Some Healthy, Natural Teeth Are Still Present.
- 31 New Single Dentures Opposing Natural Dentition N , Missing Teeth Don't Let You Bite, Chew, Talk Or Smile Normally.
- The Combination Syndrome Revisited Pdf Dentures Human Tooth . Sometimes A Better Esthetic Result Is Obtainable When The Anterior Replacements Are Supplied By A Removable Partial Denture, At Other.
- Pdf Management Of Fractured Mandibular Single Complete Denture Opposing Maxillary Natural Dentition By The Implementation Of Functionally Generated Path Technique A Case Report Dr Shilpa Sinnurkar Academia Edu : In Other Words, The Two Opposing Natural Teeth To An Implant Crown Still Have Occlusal Contacts On The Adjacent Natural Teeth To The Implant.
- Comparative Study Of Two Types Of Attachments For Mandibular Implant Retained Single Complete Overdenture . Mandibulardenture To Oppose Natural Maxillary Teeth:
- Selection And Arrangement Of Teeth For Removable Partial Denture Prosthesis Flashcards Quizlet : Missing Teeth Have Been Or Will Be Replaced By.
- 31 New Single Dentures Opposing Natural Dentition N . The Natural Choice For Craftsmanship And Affordability.
- 31 New Single Dentures Opposing Natural Dentition N - (T/F)Many Patients Become Edentulous In One Arch While Retaining Some Or All Of Their Natural Teeth In The Opposing Arch.
- 17 Occlusal Relationships For Removable Partial Dentures Pocket Dentistry - Dentures Are Artificial Teeth And Gums That Are Formed To Your Mouth And Created By Your Dentists To Replace Lost Or Removed Natural Teeth.
- Pdf Single Complete Denture In Mandibular Arch Opposing Natural Dentition A Case Report - A Wide Variety Of Composite Denture Teeth Options Are Available To You, Such As Quality Certification, Material, And Warranty.
Denture Opposing Natural Teeth : Triad Treatment Option To Restore Full Mouth
Immediate Complete Denture Prosthetics Inside Dental Technology. This allows the dentures to literally. Dentures are removable replacements for your natural teeth and gums. Maxillary denture opposing a distal extension removable partial denture centric occlusion vthe vertical overlap of the anterior teeth was excessive 28. Seven how to cite this article: Opposed by natural and/or restored dentition is biomechanically and functionally a compromised rehabilitation. Outcome of single maxillary complete. At thegentledentist.com located in shelby twp. Osseointegrated implantsimplant assisted overlay dentures are recommended for the maxilla whenopposed by natural dentition in the mandible. Essentially there are two categories dentures are generally the poorest quality of tooth replacement. I liken them to a false or prosthetic arm….it may look like an arm but does not. Replace the tooth/teeth with a denture. Michigan we use seemingly hopeless teeth to support complete dentures. Reshaping the natural teeth using a resin template. Single denture opposing natural dentition. (t/f)many patients become edentulous in one arch while retaining some or all of their natural teeth in the opposing arch.
• it usually happens as a result of surgical or accidental trauma.
What are the benefits and alternatives for replacing missing teeth? Dentures can become loose and can float on your gums. To keep your dentures clean, learn the basics of proper denture care here. When a tooth is lost, dentures, bridges, or implants may be used as replacements.54 dentures are usually the least costly whereas implants are usually the most attrition is the loss of tooth structure by mechanical forces from opposing teeth.64 attrition initially affects the enamel and, if unchecked. A single denture may oppose: Lastly, dentures are a viable solution to replace teeth that are causing serious pain and oral health issues, such as those with rotted roots or severe damage. For cast partials, if a clasp or rest is hitting the opposing and causing the bite to be open unnaturally, take an additional bite with the offending partial removed and make a note that the clasp/rest is interfering so the lab can. Their color was not white enough. Single denture opposing natural dentition. Alibaba.com offers 1,273 composite denture teeth products. About 14% of these are dental consumables, 21% are other dental equipments. Reshaping the natural teeth using a resin template. • it usually happens as a result of surgical or accidental trauma. Most patients discover that implants are the best available solution for the replacement of missing teeth. At thegentledentist.com located in shelby twp. Dentures can help fill out the appearance of your face and profile. • complicating factors for the single mandibular complete denture opposing natural teeth 1.the denture supporting tissues for the mandibular. Of opposing casts (by occluding sufficient remaining natural teeth) to the recording of jaw relations in. Let's say your natural teeth ware not straight in the right position. How can dentures improve my smile ? Outcome of single maxillary complete. That's why we offer a wide range of tooth shapes, colors and translucencies, so you can choose what feels right for you. Essentially there are two categories dentures are generally the poorest quality of tooth replacement. Dentures are removable replacements for your natural teeth and gums. Denture wearers often experience challenges while eating, talking, and interacting with will dental implants look like my natural smile or teeth? Maxillary denture opposing a distal extension removable partial denture centric occlusion vthe vertical overlap of the anterior teeth was excessive 28. Balanced occlusion for full dentures opposing natural teeth. Dentures are artificial teeth and gums that are formed to your mouth and created by your dentists to replace lost or removed natural teeth. Missing teeth don't let you bite, chew, talk or smile normally. We know that your dentures need to look and, most importantly, feel natural. (t/f)many patients become edentulous in one arch while retaining some or all of their natural teeth in the opposing arch.

