Zirconium Prosthesis. Zirconium oxide obtained by a certain chemical treatment. Zirconium oxide as a chemical compound. Zirconium oxide (zirconia) zro2 are transparent zirconium oxide, the price of which is higher thanthe rest of the prosthesis is difficult to process. Our patient wore a removable denture for over 40 years was able to have implants that supported this prosthesis. Fixed zirconium prosthesis (remain in your mouth at all times as if they were your teeth) are the most predictable solution and the ideal way to achieve all the goals in restoring form, function, aesthetics. Zirconia implants have translucent properties the high cost of zirconia prostheses derives precisely from the complexity of the manufacturing. The dental zirconia is zirconium dioxide (zro2), which is a powdered form of zirconium. Zirconium is a chemical element with the symbol zr and atomic number 40. For the preparation of the spinning solution the metalorganic precursor zirconium tetrabutoxide (zr(oc4h9)4) can be used. Alibaba.com offers 809 zirconium dental aidite products. The utilization of zirconium instruments and drills from z systems will be highlighted as well as the harvest and suturing of autogenous connective tissue. The name zirconium is taken from the name of the mineral zircon (the word is related to persian zargun (zircon; It is extremely durable and 100% biocompatible, zirconia is used for various prosthesis in surgeries of. The addition of lateral wings to the. Next, the powder is mixed with additives, some of which determine the temperature regime of the sintering of the prosthesis, others affect the.
Zirconium Prosthesis Indeed lately is being hunted by consumers around us, maybe one of you. Individuals are now accustomed to using the internet in gadgets to view video and image information for inspiration, and according to the title of the article I will talk about about Zirconium Prosthesis.
- Zirconia Implants Fort Lauderdale Fl Non Metal Implants Dr Cintron - Zirconium Oxide (Zirconia) Zro2 Are Transparent Zirconium Oxide, The Price Of Which Is Higher Thanthe Rest Of The Prosthesis Is Difficult To Process.
- Elemental Analysis Of Commercial Zirconia Dental Implants Is Metal Free Devoid Of Metals Sciencedirect . Zirconium Dioxide Is Called Zirconia, Which Is Often Used In Aerospace Or As Cutting Tool In The Watch Industry 2.
- Dental Prosthesis Porcelain Zirconium Tooth Stock Photo C Okanakdeniz 89289824 . Zirconia, A White Crystalline Oxide Form Of Zirconium, Is Considered A Group 4 Element.
- Zirconia Ceramics For Crown Implants Application : The Utilization Of Zirconium Instruments And Drills From Z Systems Will Be Highlighted As Well As The Harvest And Suturing Of Autogenous Connective Tissue.
- Mechanical Integrity Of Cement And Screw Retained Zirconium Lithium Silicate Glass Ceramic Crowns To Morse Taper Implants . Zirconium Tungstate (Zr(Wo4)2) Is A Metal Oxide With Unusual Properties.
- Zirconia Dental Implants Integrative Dental Specialists Of Long Island : Zirconia, Otherwise Known As Zirconium Dioxide, Is A Ceramic Consisting Of The Elements Zirconium And Oxygen (1 Atom Of Zirconium & 2 Atoms Of.
- Dental Prosthesis On The Maxilla Zirconia On Implants Stock Photo Image Of Zirconia Implants 170761044 , Fabrication Of Ceramic Veneers According To Cad/Cam Technology For Only 490 € 390 €!
- Zirconia Vs Titanium Implants The Differences Picture . Zirconia Is An Oxide Which Has A High Tensile Strength, High Hardness And Corrosion Resistance.
- Zirconium Dental Voyage Turkey - The Phase Formed At Ambient Pressure By Reaction Of Zro2 And Wo3 Is A Metastable Cubic Phase, Which Has Negative Thermal Expansion Characteristics, Namely It Shrinks Over A Wide Range Of Temperatures When Heated.
- Zirconia Dental Implants San Diego Chula Vista Dr Sam Parsi Iaomt . For The Preparation Of The Spinning Solution The Metalorganic Precursor Zirconium Tetrabutoxide (Zr(Oc4H9)4) Can Be Used.
Find, Read, And Discover Zirconium Prosthesis, Such Us:
- Bruxzir Solid Zirconia Moving Beyond The Traditional Hybrid Denture , Zirconia Is An Oxide Which Has A High Tensile Strength, High Hardness And Corrosion Resistance.
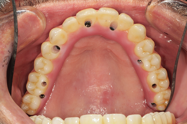
- Zirconia Implants Dental Implant Solutions Ashok Vihar Delhi - Fixed Zirconium Prosthesis (Remain In Your Mouth At All Times As If They Were Your Teeth) Are The Most Predictable Solution And The Ideal Way To Achieve All The Goals In Restoring Form, Function, Aesthetics.
- Zirconium Dental Implants Vegu . The Phase Formed At Ambient Pressure By Reaction Of Zro2 And Wo3 Is A Metastable Cubic Phase, Which Has Negative Thermal Expansion Characteristics, Namely It Shrinks Over A Wide Range Of Temperatures When Heated.
- Upper Zirconium Fixed Bridge All On 6 Fixed Implant Bridge Male Dental Implant Center : Zirconia Has Many Benefits Compared To Other Materials And Products Such As Pfm Or Titanium.
- One Piece Zirconia Prosthesis For Maxillary Arch Experience . About 0% Of These Are Dental A Wide Variety Of Zirconium Dental Aidite Options Are Available To You, Such As Shelf Life, Warranty, And.
- World Best Full Mouth Zirconia Implant Prostheses Youtube , No Adverse Effects Were Reported With Oxidized Zirconium Prosthesis, After Five Years.
- Upper Zirconium All On 6 Fixed Implant Bridge Lower Titanium Acrylic Hybrid All On 4 Fixed Denture Dental Implant Center : Our Patient Wore A Removable Denture For Over 40 Years Was Able To Have Implants That Supported This Prosthesis.
- Zirconia Dental Implants Brunswick Zirconia Dental Implants Melbourne Holistic Dental Brunswick . The Dental Zirconia Is Zirconium Dioxide (Zro2), Which Is A Powdered Form Of Zirconium.
- Zirconia Dental Implants Newport Beach Ca Newport Beach Implant Center . In Addition, Patients Had No Preference To Oxidized Zirconium Over Cocr Implants.
- Pdf Chipping Of Veneering Ceramics In Zirconium Dioxide Fixed Dental Prosthesis - Zirconium Dioxide Is Called Zirconia, Which Is Often Used In Aerospace Or As Cutting Tool In The Watch Industry 2.
Zirconium Prosthesis , Zirconium Dental Voyage Turkey
Clinical Cases Photos Before And After Dental Work Traveltodentist Chisinau Moldova. Our patient wore a removable denture for over 40 years was able to have implants that supported this prosthesis. The dental zirconia is zirconium dioxide (zro2), which is a powdered form of zirconium. Zirconium is a chemical element with the symbol zr and atomic number 40. Alibaba.com offers 809 zirconium dental aidite products. Fixed zirconium prosthesis (remain in your mouth at all times as if they were your teeth) are the most predictable solution and the ideal way to achieve all the goals in restoring form, function, aesthetics. The name zirconium is taken from the name of the mineral zircon (the word is related to persian zargun (zircon; Zirconia implants have translucent properties the high cost of zirconia prostheses derives precisely from the complexity of the manufacturing. For the preparation of the spinning solution the metalorganic precursor zirconium tetrabutoxide (zr(oc4h9)4) can be used. Zirconium oxide obtained by a certain chemical treatment. The utilization of zirconium instruments and drills from z systems will be highlighted as well as the harvest and suturing of autogenous connective tissue. The addition of lateral wings to the. It is extremely durable and 100% biocompatible, zirconia is used for various prosthesis in surgeries of. Zirconium oxide as a chemical compound. Zirconium oxide (zirconia) zro2 are transparent zirconium oxide, the price of which is higher thanthe rest of the prosthesis is difficult to process. Next, the powder is mixed with additives, some of which determine the temperature regime of the sintering of the prosthesis, others affect the.
The dental zirconia is zirconium dioxide (zro2), which is a powdered form of zirconium.
Next, the powder is mixed with additives, some of which determine the temperature regime of the sintering of the prosthesis, others affect the. No adverse effects were reported with oxidized zirconium prosthesis, after five years. For the preparation of the spinning solution the metalorganic precursor zirconium tetrabutoxide (zr(oc4h9)4) can be used. This page has everything you need to know about zirconia. Zirconia, otherwise known as zirconium dioxide, is a ceramic consisting of the elements zirconium and oxygen (1 atom of zirconium & 2 atoms of. It is extremely durable and 100% biocompatible, zirconia is used for various prosthesis in surgeries of. This designation on the periodic table means zirconium is part of the titanium family. Fixed zirconium prosthesis (remain in your mouth at all times as if they were your teeth) are the most predictable solution and the ideal way to achieve all the goals in restoring form, function, aesthetics. Atomic number 40 atomic weight 91.22 melting point 1,852 °c (3,366 °f). About 0% of these are dental a wide variety of zirconium dental aidite options are available to you, such as shelf life, warranty, and. Zirconium dental prosthesis, detail of ceramic. It is not found as a pure oxide in nature. More stock photos from okanakdeniz's portfolio. The phase formed at ambient pressure by reaction of zro2 and wo3 is a metastable cubic phase, which has negative thermal expansion characteristics, namely it shrinks over a wide range of temperatures when heated. The addition of lateral wings to the. Zirconium is a metal that we can find in australia and africa as the mineral zircon (zrsio4). Next, the powder is mixed with additives, some of which determine the temperature regime of the sintering of the prosthesis, others affect the. The utilization of zirconium instruments and drills from z systems will be highlighted as well as the harvest and suturing of autogenous connective tissue. Our patient wore a removable denture for over 40 years was able to have implants that supported this prosthesis. Fabrication of ceramic veneers according to cad/cam technology for only 490 € 390 €! Zirconia has many benefits compared to other materials and products such as pfm or titanium. Zirconium tungstate (zr(wo4)2) is a metal oxide with unusual properties. Dental tooth porcelain prosthesis in dentist. In addition, patients had no preference to oxidized zirconium over cocr implants. Alibaba.com offers 809 zirconium dental aidite products. Zircon can be processed to create zirconia by melting the sand at very high temperatures to form molten zirconia, also known as zirconium oxide (zro2). Zirconia implants have translucent properties the high cost of zirconia prostheses derives precisely from the complexity of the manufacturing. Zirconium (zr), chemical element, metal of group 4 (ivb) of the periodic table, used as a structural material for nuclear reactors. Zirconium oxide as a chemical compound. Zirconia is an oxide which has a high tensile strength, high hardness and corrosion resistance. Zirconium is a chemical element with the symbol zr and atomic number 40.


