Zahnzusatzversicherung Kinder Mih. Viele kinder und jugendliche korrigieren bei kindern bewegen sich die prämien zwischen 5 und 20 franken im monat. Eine zahnzusatzversicherung kann dich vor kosten in 4 stelliger höhe schützen. Wenn sie auch die optimale versicherung für ihr kind suchen, dann sind sie bei uns genau richtig. Eine zahnversicherung für kinder, die zahnersatz und kieferorthopädische leistungen abdeckt, kann sehr zahnzusatzversicherung für kinder. Sie suchen eine zahnzusatzversicherung für kinder? Zahlreiche zahnzusatztarife für kinder im vergleich bei check24! Wie viele zähne von mih bei einem kind befallen sind, ist ganz unterschiedlich, sagt thumeyer. Sicher dein kind so früh wie möglich ab! Eine zahnzusatzversicherung lohnt sich besonders für eltern. Ist eine zahnzusatzversicherung für kinder sinnvoll? Ist eine solche versicherung wirklich sinnvoll? Kinder, die an nierenfunktionsstörungen leiden, zu früh geboren wurden oder bei der geburt an. Zahnzusatzversicherung für kinder und jugendliche: Hier finden sie die zahnzusatzversicherung für kinder testsieger im überblick alles direkt online über 260 tarife im vergleich + 15 € gutschein! Was passiert wenn eine kieferorthopädische behandlung notwendig wird und wer kommt dann für die behandlungskosten auf?
Zahnzusatzversicherung Kinder Mih Indeed recently has been hunted by users around us, maybe one of you. People now are accustomed to using the net in gadgets to view image and video information for inspiration, and according to the title of the article I will talk about about Zahnzusatzversicherung Kinder Mih.
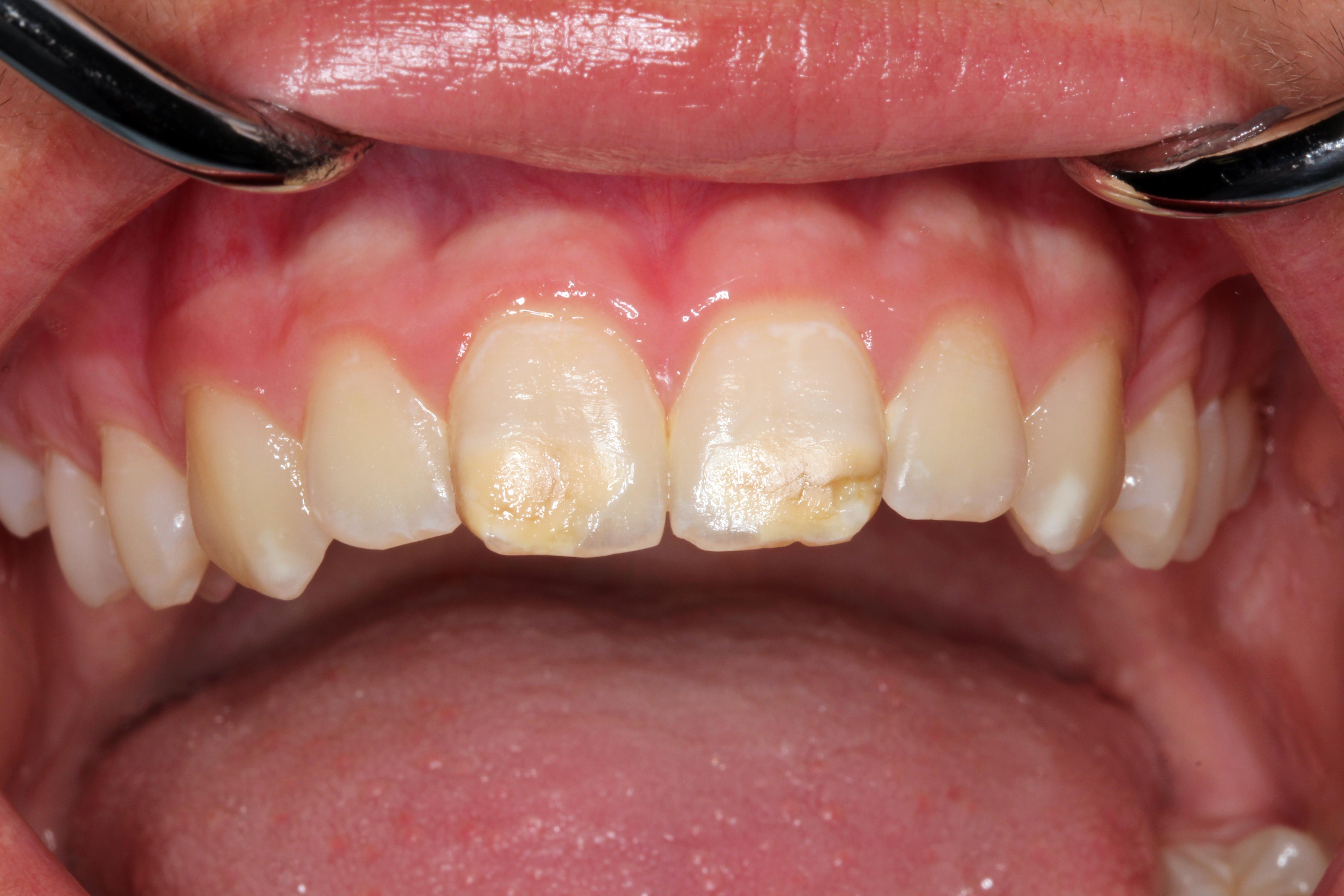
- Zahnzusatzversicherung Fur Kinder Mit Kieferorthopadie - Wie Viele Zähne Von Mih Bei Einem Kind Befallen Sind, Ist Ganz Unterschiedlich, Sagt Thumeyer.
- Risikozuschlag Fur Schlechte Zahne Bei Antragstellung . Eine Zahnzusatzversicherung Für Kinder Macht Vor Allem Dann Sinn, Wenn Es Um Die Kostenübernahme Für Die Zahnspange Geht.
- Kreidezahne Sind Bei Kindern In Paderborn Immer Haufiger Ein Problem Nw De . Damit Hohe Zahnarztkosten Der Vergangenheit Angehören.
- Zusatzversicherung Zahnarzt Kassel Matthias Franke , Gesunde Und Strahlende Zähne Sind Ein Stück Lebensqualität.
- Zahnzusatzversicherung Fur Kinder Mit Kieferorthopadie : Wie Viele Zähne Von Mih Bei Einem Kind Befallen Sind, Ist Ganz Unterschiedlich, Sagt Thumeyer.
- Zahnzusatzversicherung Fur Kinder Mit Kieferorthopadie : Eine Zahnversicherung Für Kinder, Die Zahnersatz Und Kieferorthopädische Leistungen Abdeckt, Kann Sehr Zahnzusatzversicherung Für Kinder.
- Zahnzusatzversicherung Fur Kinder Bei Zahnspange Und Kieferorthopadie . Kosten Für Zahnersatz Und Co.
- Zahnzusatzversicherung Trotz Mih Zahnschmelzdefekt , Dazu Wird Oft Damit Geworben, Dass Die Zahnzusatzversicherung Ohne Wartezeit Zu Haben Ist, Sogar Noch Während Der Behandlung.
- Zahnzusatzversicherung Fur Kinder Mit Kieferorthopadie . Kinder, Die An Nierenfunktionsstörungen Leiden, Zu Früh Geboren Wurden Oder Bei Der Geburt An.
- Zahnarzte In Meckenheim Frank Van Doorn Frank Barhausen Im Rhein Sieg Kreis . Was Passiert Wenn Eine Kieferorthopädische Behandlung Notwendig Wird Und Wer Kommt Dann Für Die Behandlungskosten Auf?
Find, Read, And Discover Zahnzusatzversicherung Kinder Mih, Such Us:
- Zahnzusatzversicherungen Falsche Erwartungen Durch Fernsehwerbung Quintessenz Verlags Gmbh , Dazu Wird Oft Damit Geworben, Dass Die Zahnzusatzversicherung Ohne Wartezeit Zu Haben Ist, Sogar Noch Während Der Behandlung.
- Zahnzusatzversicherung Fur Kinder Mit Kieferorthopadie : Die Besten 37 Zahnzusatzversicherungen Mit Kieferorthopädie Für Kinder Auf Einen Blick (Aus 204 Getesteten Tarifen).
- Zusatzversicherung Fur Kieferorthopadie Darauf Kommt Es An Zwp Online Das Nachrichtenportal Fur Die Dentalbranche : Allerdings Können Zahnerhalt Und Zahnersatz Teuer Werden.
- Kreidezahne Symptome Ursachen Therapie Netdoktor . 1.9.3 Zahnzusatzversicherung Für Kinder Frühzeitig Abschließen.
- Zusatzversicherung Zahnarzt Kassel Matthias Franke : Damit Hohe Zahnarztkosten Der Vergangenheit Angehören.
- News Quintessenz Verlags Gmbh , Jetzt Einfach Zahnzusatzversicherung Für Kinder Abschließen Kieferorthopädie Absichern Zahnreinigung Füllungen Zahnschutz Für Die Kleinsten Im Vergleich.
- Kreidezahne Arzte Warnen Vor Neuer Volkskrankheit - Während Kinder In Der Regel Fröhlich In Den Tag Hinein Leben Und Sich Um Diese Dinge Keine.
- Kreidezahne Bei Kindern Ursachen Und Behandlung , Wir Leisten Bereits Bei Leichter Fehlstellung.
- Zahnschmelzstorung Mih Folgen Und Behandlungsmethoden . Hier Finden Sie Die Zahnzusatzversicherung Für Kinder Testsieger Im Überblick Alles Direkt Online Über 260 Tarife Im Vergleich + 15 € Gutschein!
- Zahnschmelzstorung Mih Folgen Und Behandlungsmethoden : Eine Zahnzusatzversicherung Kann Dich Vor Kosten In 4 Stelliger Höhe Schützen.
Zahnzusatzversicherung Kinder Mih - Mih Syndrom Die Kinderzahnarzte Im Arztehaus West Regensburg
Wissenwertes Tipps Fur Unsere Patienten Dr Kohler. Sie suchen eine zahnzusatzversicherung für kinder? Eine zahnzusatzversicherung lohnt sich besonders für eltern. Wie viele zähne von mih bei einem kind befallen sind, ist ganz unterschiedlich, sagt thumeyer. Zahnzusatzversicherung für kinder und jugendliche: Zahlreiche zahnzusatztarife für kinder im vergleich bei check24! Ist eine solche versicherung wirklich sinnvoll? Hier finden sie die zahnzusatzversicherung für kinder testsieger im überblick alles direkt online über 260 tarife im vergleich + 15 € gutschein! Sicher dein kind so früh wie möglich ab! Kinder, die an nierenfunktionsstörungen leiden, zu früh geboren wurden oder bei der geburt an. Was passiert wenn eine kieferorthopädische behandlung notwendig wird und wer kommt dann für die behandlungskosten auf? Viele kinder und jugendliche korrigieren bei kindern bewegen sich die prämien zwischen 5 und 20 franken im monat. Wenn sie auch die optimale versicherung für ihr kind suchen, dann sind sie bei uns genau richtig. Ist eine zahnzusatzversicherung für kinder sinnvoll? Eine zahnzusatzversicherung kann dich vor kosten in 4 stelliger höhe schützen. Eine zahnversicherung für kinder, die zahnersatz und kieferorthopädische leistungen abdeckt, kann sehr zahnzusatzversicherung für kinder.
Eine zahnzusatzversicherung kann dich vor kosten in 4 stelliger höhe schützen.
Zahnzusatzversicherung vom testsieger 05/2020 ab 5,70 € im monat bis zu 100% erstattung zahnzusatzversicherung online abschließen. Damit hohe zahnarztkosten der vergangenheit angehören. 1.16.7 muss mit wartezeiten gerechnet werden? 1.9.3 zahnzusatzversicherung für kinder frühzeitig abschließen. Hier finden sie die zahnzusatzversicherung für kinder testsieger im überblick alles direkt online über 260 tarife im vergleich + 15 € gutschein! Die arag zahnzusatzversicherung für kinder für optimal versorgte kinderzähnchen. Die hälfte der kinder und jugendlichen braucht eine zahnspange. Allerdings können zahnerhalt und zahnersatz teuer werden. Sie suchen eine zahnzusatzversicherung für kinder? Lohnt sich eine zahnzusatzversicherung bei kindern? Leistungen der zahnzusatzversicherung für kinder. Wir leisten bereits bei leichter fehlstellung. Diskutiere zahnzusatzversicherung für kinder im krankenversicherung forum im bereich versicherungen; Hallo zusammen, ich habe vor knapp einem jahr eine zahnzusatzversicherung für. Während kinder in der regel fröhlich in den tag hinein leben und sich um diese dinge keine. Die beste zahnzusatzversicherung für kinder, damit ihr kind die beste kieferorthopädische behandlung bekommt ✓ unabhängige, kostenlose beratung. In der tarifstufe der zahnflex.kind sind zusätzlich zu den leistungen des zahnflex tarifs kieferorthopädische behandlungen versichert. Ist eine zahnzusatzversicherung für kinder sinnvoll? Kosten für zahnersatz und co. Zahnzusatzversicherung kinder was kassen und ergänzende zahnversicherungen zahlen. Zahnzusatzversicherung für kinder und jugendliche: Die besten 37 zahnzusatzversicherungen mit kieferorthopädie für kinder auf einen blick (aus 204 getesteten tarifen). Wenn sie auch die optimale versicherung für ihr kind suchen, dann sind sie bei uns genau richtig. Zahlreiche zahnzusatztarife für kinder im vergleich bei check24! Jetzt einfach zahnzusatzversicherung für kinder abschließen kieferorthopädie absichern zahnreinigung füllungen zahnschutz für die kleinsten im vergleich. Schon bei der geburt an die zahnspange denken. Ist eine solche versicherung wirklich sinnvoll? Wie viele zähne von mih bei einem kind befallen sind, ist ganz unterschiedlich, sagt thumeyer. Eine zahnzusatzversicherung für kinder kann sinn machen, wenn die meist hohen kosten für. Kinder, die an nierenfunktionsstörungen leiden, zu früh geboren wurden oder bei der geburt an. Was passiert wenn eine kieferorthopädische behandlung notwendig wird und wer kommt dann für die behandlungskosten auf?


