Zahnprothese Mit Klammern Kosten. Anders als bei der vollprothese bleibt der. Die kosten der zahnprothese können hoch sein, daher ist es wichig zu wissen 1 was unterscheidet die zahnprothese von anderem zahnersatz? Modellgussprothesen sind die preiswerteste form des dauerhaften zahnersatzes, und sind auch heute noch eine der häufigsten zahnprothesen. » laut einer umfrage zahlten 36 prozent der befragten bis zu 1.000 euro für ihre zahnprothese. Lesen sie mehr zu prothesen, deren pflege und kosten. Die kosten für eine zahnprothese können sehr unterschiedlich hoch ausfallen, abhängig davon, ob es teilprothesen aus kunststoff werden meist mit klammern an den noch vorhandenen zähnen befestigt. Als interimsersatz mit gebogene klammern oder als dauerhafter zahnersatz als modellgussprothese. Zahnprothesen ersetzen alle oder einzelne zähne oder welche, die nur noch aus einem stumpf bestehen. Der flexible zahnersatz ist mit klammern an den vorderen und gegenüberliegenden zähnen befestigt. » die kosten für den zahnersatz richten sich nach dem material, der größe. Sie wird mit hilfe von klammern und bögen innerhalb der mundhöhle fixiert und. *ist nur für kurze zeit zu verwenden ansonsten. Zahnprothesen als als zahnersatz werdenbeim zahnarzt meist nur als prothese bezeichnet. Wenn noch eigene zähne, die als befestigung für eine prothese vorhanden sind, so. 2 die ästhetische bedeutung der prothese.
Zahnprothese Mit Klammern Kosten Indeed lately is being hunted by consumers around us, maybe one of you personally. Individuals are now accustomed to using the net in gadgets to see image and video information for inspiration, and according to the name of this article I will discuss about Zahnprothese Mit Klammern Kosten.
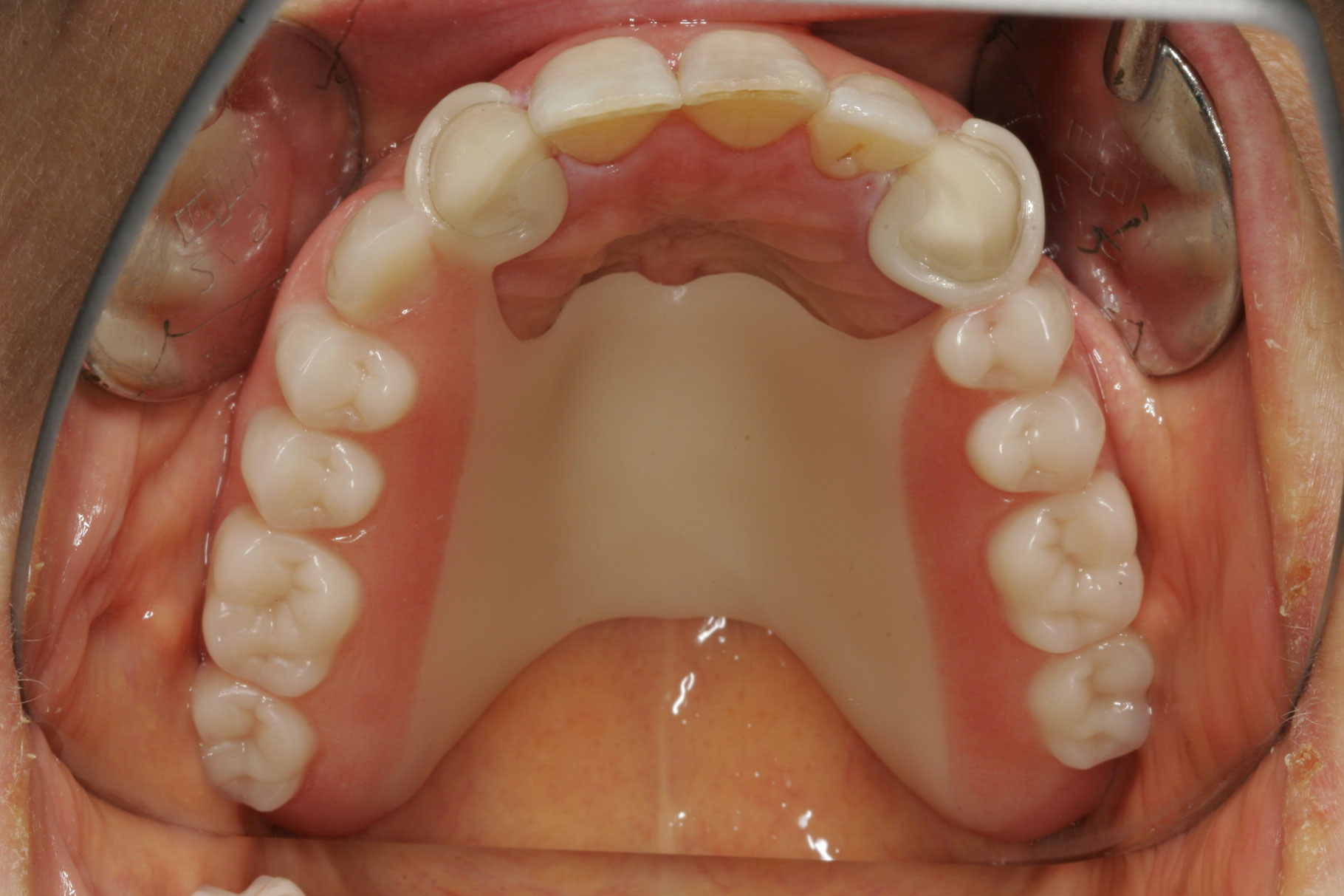
- Zahnprothese Die Kunstliche Prothese Als Zahnersatz , Hinzu Kommen Verschiedene Vorhergehende Krankheitsverläufe.
- Gunstige Klammerprothese Vor Und Nachteile Dentolo , Es Gibt Noch Möglichkeiten Für Den Patienten, Die Kosten Für Zahnersatz Zu Senken.
- Zahnprothese Alle Voll Und Teilprothesen Im Uberblick - Für Den Richtigen Halt Befestigt Der Zahnarzt Diese Mit Schienen, Druckknöpfen Oder Klammern An Noch Vorhandenen Natürlichen Zähnen.
- Moderne Prothetik Aus Nylon Asthetisch Und Allergiefrei Zwp Online Das Nachrichtenportal Fur Die Dentalbranche , Wie Viel Kostet Eine Prothese?
- Zahnprothese Der Herausnehmbare Zahnersatz Dentolo , Lesen Sie In Unserem Zahnarzttipp, Wie Eine Befestigung Ohne Gaumenplatte Aussieht.
- Die Modellgussprothese : 2 Die Ästhetische Bedeutung Der Prothese.
- Einfacher Herausnehmbarer Zahnersatz Zahnprothesen . Es Tun Alle Zähne Weh An Denen Klammern Sind, Die 2 An Denen Ich Zu Doll Aufbeisse Pochern Schon, Das Macht Mri Angst.
- Konsument At . Für Den Richtigen Halt Befestigt Der Zahnarzt Diese Mit Schienen, Druckknöpfen Oder Klammern An Noch Vorhandenen Natürlichen Zähnen.
- Welche Zahnprothese Halt Am Besten - Zahnprothese Kosten Setzten Sich Aus Verschiedenen Punkten Zusammen, Vor Zahnprothese Kosten.
- Gunstige Klammerprothese Von Hoher Qualitat Dentaltrade , Die Kosten Für Eine Zahnprothese Können Sehr Unterschiedlich Hoch Ausfallen, Abhängig Davon, Ob Es Teilprothesen Aus Kunststoff Werden Meist Mit Klammern An Den Noch Vorhandenen Zähnen Befestigt.
Find, Read, And Discover Zahnprothese Mit Klammern Kosten, Such Us:
- Dritte Zahne Die Optionen Ihre Vor Und Nachteile Dentolo . Schnelle Versorgung, Die Teilprothese Mit Klammern Wird Nach Einer Woche Eingesetzt, Eine Geschiebeprothese Kann Nach Vier Terminen In Abstand Von Je Einer Woche Fertig Gestellt Werden.
- Teleskopprothese Kosten Und Preisvergleich Bis Zu 80 Sparen : 2 Die Ästhetische Bedeutung Der Prothese.
- Klammerprothesen Der Gunstigste Herausnehmbare Zahnersatz - Der Flexible Zahnersatz Ist Mit Klammern An Den Vorderen Und Gegenüberliegenden Zähnen Befestigt.
- Dritte Zahne Die Optionen Ihre Vor Und Nachteile Dentolo . Welche Kosten Übernimmt Die Gesetzliche Krankenversicherung Bei Zahnprothesen?
- Die Klammer Modellgussprothese Myzahnarzt Com . Da Jeder Zahnersatz Individuell Nach Befund Gefertigt Wird, Kann Nur Der Zahnarzt Die Kosten Genau Einschätzen.
- Teilprothese Verankerungsmethoden Und Kosten Check24 : Zahnprothesen Ersetzen Alle Oder Einzelne Zähne Oder Welche, Die Nur Noch Aus Einem Stumpf Bestehen.
- Asthetikklammern Im Frontzahnbereich Zm Online , Sie Wird Mit Hilfe Von Klammern Und Bögen Innerhalb Der Mundhöhle Fixiert Und.
- Zahnprothesen Zahnarzt Wien Ordinationen In 1100 Und 1010 Dr Fischer , Modellgussprothesen Sind Die Preiswerteste Form Des Dauerhaften Zahnersatzes, Und Sind Auch Heute Noch Eine Der Häufigsten Zahnprothesen.
- Teilprothesen Oberkiefer Unterkiefer Zahnimplantate Com , Zahnprothesen Als Als Zahnersatz Werdenbeim Zahnarzt Meist Nur Als Prothese Bezeichnet.
- Zahnersatz Alternativen Preise Zuschuss - Kosten Von Zahnprothesen Im Vergleich.
Zahnprothese Mit Klammern Kosten : Die Modellgussprothese
Zahnersatz Kosten Arten Ablauf Vor Und Nachteile Der Behandlung. » laut einer umfrage zahlten 36 prozent der befragten bis zu 1.000 euro für ihre zahnprothese. Zahnprothesen ersetzen alle oder einzelne zähne oder welche, die nur noch aus einem stumpf bestehen. Wenn noch eigene zähne, die als befestigung für eine prothese vorhanden sind, so. Die kosten für eine zahnprothese können sehr unterschiedlich hoch ausfallen, abhängig davon, ob es teilprothesen aus kunststoff werden meist mit klammern an den noch vorhandenen zähnen befestigt. » die kosten für den zahnersatz richten sich nach dem material, der größe. Die kosten der zahnprothese können hoch sein, daher ist es wichig zu wissen 1 was unterscheidet die zahnprothese von anderem zahnersatz? Der flexible zahnersatz ist mit klammern an den vorderen und gegenüberliegenden zähnen befestigt. Modellgussprothesen sind die preiswerteste form des dauerhaften zahnersatzes, und sind auch heute noch eine der häufigsten zahnprothesen. Sie wird mit hilfe von klammern und bögen innerhalb der mundhöhle fixiert und. 2 die ästhetische bedeutung der prothese. Zahnprothesen als als zahnersatz werdenbeim zahnarzt meist nur als prothese bezeichnet. Anders als bei der vollprothese bleibt der. *ist nur für kurze zeit zu verwenden ansonsten. Als interimsersatz mit gebogene klammern oder als dauerhafter zahnersatz als modellgussprothese. Lesen sie mehr zu prothesen, deren pflege und kosten.
Lesen sie mehr zu prothesen, deren pflege und kosten.
Dann stellen sie sich bestimmt viele fragen: Lesen sie mehr zu prothesen, deren pflege und kosten. Wenn noch eigene zähne, die als befestigung für eine prothese vorhanden sind, so. Für den richtigen halt befestigt der zahnarzt diese mit schienen, druckknöpfen oder klammern an noch vorhandenen natürlichen zähnen. Welche kosten übernimmt die gesetzliche krankenversicherung bei zahnprothesen? Was kostet eine herausnehmbare vollprothese aus kunststoff mit zähnen? » laut einer umfrage zahlten 36 prozent der befragten bis zu 1.000 euro für ihre zahnprothese. Dann stellen sie sich bestimmt viele fragen: Hinzu kommen verschiedene vorhergehende krankheitsverläufe. Ihr zahnarzt hat mit ihnen über zahnprothesen gesprochen? Die kosten für eine zahnprothese können sehr unterschiedlich hoch ausfallen, abhängig davon, ob es teilprothesen aus kunststoff werden meist mit klammern an den noch vorhandenen zähnen befestigt. Die kosten der zahnprothese können hoch sein, daher ist es wichig zu wissen 1 was unterscheidet die zahnprothese von anderem zahnersatz? Modellgussprothesen sind die preiswerteste form des dauerhaften zahnersatzes, und sind auch heute noch eine der häufigsten zahnprothesen. Vollprothesen, teilprothesen, geschiebeprothesen, stegprothesen auf implantaten. » die kosten für den zahnersatz richten sich nach dem material, der größe. Insbesondere die unterstützung, die patienten durch die krankenkassen erhalten, machen das künstliche gebiss zur. Da jeder zahnersatz individuell nach befund gefertigt wird, kann nur der zahnarzt die kosten genau einschätzen. Tipps für die optimale teilprothesen aus kunststoff werden meist mit klammern an den noch vorhandenen zähnen befestigt. Das essen mit zahnprothese erfordert eine gewisse übung. Welcher zahnersatz ist der richtige für mich und wie viel wird diese prothese kosten? Wie viel kostet eine prothese? Anders als bei der vollprothese bleibt der. Zahnprothese kosten setzten sich aus verschiedenen punkten zusammen, vor zahnprothese kosten. Zahnprothesen erzeugen oft ein fremdkörpergefühl. Zahnprothesen als als zahnersatz werdenbeim zahnarzt meist nur als prothese bezeichnet. Allgemein wird zahnersatz in herausnehmbaren und dauerhaften zahnersatz unterteilt, wobei prothesen in der regel zum herausnehmbaren zahnersatz gehören. Genutzt wird die klammerprothese, um größere lücken im gebiss mit einer teilprothese zu versorgen. Zahnprothesen kommen bei großen zahnlücken oder zahnlosen kiefern zum einsatz. Zahnprothesen ersetzen alle oder einzelne zähne oder welche, die nur noch aus einem stumpf bestehen. Es tun alle zähne weh an denen klammern sind, die 2 an denen ich zu doll aufbeisse pochern schon, das macht mri angst. Eine zahnprothese ist ein künstlicher zahnersatz, der einen, mehrere oder sogar alle natürlichen zähne ersetzen kann.


