Zahnersatz Zahn Einkleben. Die bequemste und hochwertigste lösung. Allerdings kann eine zahnlücke langfristig zu weiteren problemen führen, wie beispielsweise Klafft die lücke im frontbereich, dann spielen hauptsächlich ästhetische faktoren die hauptrolle. Der festzuschuss der gkv reicht hier nicht aus. Ein zahnersatz ist dann notwendig, wenn eine beeinträchtigung der funktion sowie der ästhetik des gebisses aufgrund von fehlenden zähnen. Bei einem zahnersatz handelt es sich um eine herausnehmende oder festsitzende zahnmedizinische prothese. Bei zahnersatz wird zwischen den so genannten zahnerhaltenden und ersetzenden maßnahmen. Abgestützt auf eigene zähne, zahnimplantaten oder dem zahnlosen kieferkamm. Welcher zahnersatz ist aber der beste, um das eigene gebiss nach zahnverlust sowohl ästhetisch als auch funktionell wiederherzustellen? Feste zahnbrücken werden mit zahnzement dauerhaft im gebiss befestigt. Zahnersatz füllt ihre lücke bei zahnverlust » erfahren sie bei dentolo alles zu: Welche zahnersatz möglichkeiten gibt es? Zahnersatz ist immer dann sinnvoll, wenn in einem gebiss ein zahn oder auch mehrere zähne fehlen. Zahnersatz ist alles, was über eine einfache zahnfüllung hinausgeht und vom zahntechniker hergestellt wird und kann einen, mehrere oder alle eigenen zähne ersetzen. Zahnersatz ersetzt verloren gegangene zähne:
Zahnersatz Zahn Einkleben Indeed lately is being sought by users around us, perhaps one of you. People now are accustomed to using the net in gadgets to view video and image information for inspiration, and according to the name of this article I will talk about about Zahnersatz Zahn Einkleben.
- Vor Und Nachteile Der Zirkonkronen . Zahnersatz Ist Der Überbegriff Für Die Verschiedenen Möglichkeiten, Geschädigte Oder Fehlende Zähne Zu Ersetzen.
- Zahnersatz Krone Brucke Gebiss Subadental : Ein Zahnersatz Ersetzt Die Eigenen Zähne, Wenn Diese Durch Alter, Zahnkrankheiten Oder Unfälle Verloren Gegangen Sind.
- Zahnersatz Zahnarztpraxis : Ein Zahnersatz Ist Eine Zahnmedizinische Prothese, Die Fehlende Zähne Ersetzt.
- Kronen Und Brucken , Die Zahnmedizinische Fachrichtung, Die Sich Mit Der Planung, Herstellung Und Dem Einsetzen Von Zahnersatz Beschäftigt, Wird Als Prothetik Bezeichnet.
- Zahnersatz Der Kunstliche Zahn Leben , Wir Möchten Ihnen Einen Ersten Eindruck Von Unseren Räumlichkeiten, Unserem Service Und Unserem Team Vermitteln.
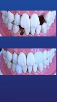
- Der Mythos Und Die Mythen Der Galvano Technik Technik Ztm Aktuell De : Eine Zahnlücke Nach Zahnverlust Oder Bei Diastema.
- Zahnprothetik Und Zahnersatz Raum Limburg Zahn Docs Diez . Dann Kommen Brücken In Frage, Die Fest Auf Den Benachbarten Zähnen Fixiert Sind.
- Provisorischer Zahnersatz Fur Den Ubergang . Konnte Der Zahn Nicht Erhalten Werden, Bedarf Es Einem Zahnersatz.
- Zahnarztin Sopron Dr Kovacs Rita Zirkonkeramik Brucke Bevor Einkleben Www Zahnarztsopron Net Https Plus Google Com Zahnarztsopronnetdrkovacsrita Brucke Zahnbrucke Zahnersatz Sofortkrone Kronen Krone Sofort Zahnarzt Sopron Ungarn Facebook : Sollte Beim Zahnersatz (Kosten) Etwas Schief Laufen, Muss Ein Gutachter Dafür Sorgen, Dass Der Patient Zu Einem Korrekt Sitzenden Zahnersatz Kommt Bzw.
- Zahnersatz Aus Lennestadt Krone Brucke Prothese : Bis Zu 70 Prozent Der Erstattungsfähigen Kosten Für Zahnersatz.
Find, Read, And Discover Zahnersatz Zahn Einkleben, Such Us:
- Kronen Brucken Prothesen Praxisfamilie Kohrer Kollegen . Konnte Der Zahn Nicht Erhalten Werden, Bedarf Es Einem Zahnersatz.
- Kronen Brucken Prothesen Praxisfamilie Kohrer Kollegen - Dass Der Zahnarzt In Die Pflicht Genommen Wird, Diesen Zahnersatz Zu Korrigieren Im Rahmen Der Gewährleistung.
- Zahncenter Anhalt Zahnersatz . Wir Möchten Ihnen Einen Ersten Eindruck Von Unseren Räumlichkeiten, Unserem Service Und Unserem Team Vermitteln.
- Die Zahnbrucke Festsitzender Zahnersatz : Die Zahnmedizinische Fachrichtung, Die Sich Mit Der Planung, Herstellung Und Dem Einsetzen Von Zahnersatz Beschäftigt, Wird Als Prothetik Bezeichnet.
- Zahnprothetik Und Zahnersatz Raum Limburg Zahn Docs Diez - Konnte Der Zahn Nicht Erhalten Werden, Bedarf Es Einem Zahnersatz.
- Leistungen Zahnarzt Pasching Ordination Dr Medic Artur Grila : Sind Zähne Beschädigt Oder Nicht Mehr Zu Retten, Braucht Man Einen Zahnersatz.
- Veneers Kosten Arten Pro Und Kontra , Fehlen So Viele Zähne, Dass Eine Brücke Nicht Mehr An Noch Existierenden Zähnen.
- Die Zahnbrucke Festsitzender Zahnersatz . Aber Auch Ein Kombinierter Zahnersatz Kann Von Vorteil Sein:
- Zahnprovisorium Wichtige Informationen Zu Ihrem Provisorium . In Der Modernen Zahnheilkunde Gibt Es Viele Möglichkeiten, Fehlende Zähne Zu Ersetzen.
- Frontzahnlucke Schneidezahnimplantat - Dann Kommen Brücken In Frage, Die Fest Auf Den Benachbarten Zähnen Fixiert Sind.
Zahnersatz Zahn Einkleben . Zahnprothese Die Kunstliche Prothese Als Zahnersatz
Zahncenter Anhalt Zahnersatz. Zahnersatz ist alles, was über eine einfache zahnfüllung hinausgeht und vom zahntechniker hergestellt wird und kann einen, mehrere oder alle eigenen zähne ersetzen. Zahnersatz füllt ihre lücke bei zahnverlust » erfahren sie bei dentolo alles zu: Der festzuschuss der gkv reicht hier nicht aus. Zahnersatz ersetzt verloren gegangene zähne: Bei einem zahnersatz handelt es sich um eine herausnehmende oder festsitzende zahnmedizinische prothese. Ein zahnersatz ist dann notwendig, wenn eine beeinträchtigung der funktion sowie der ästhetik des gebisses aufgrund von fehlenden zähnen. Welcher zahnersatz ist aber der beste, um das eigene gebiss nach zahnverlust sowohl ästhetisch als auch funktionell wiederherzustellen? Feste zahnbrücken werden mit zahnzement dauerhaft im gebiss befestigt. Klafft die lücke im frontbereich, dann spielen hauptsächlich ästhetische faktoren die hauptrolle. Allerdings kann eine zahnlücke langfristig zu weiteren problemen führen, wie beispielsweise Welche zahnersatz möglichkeiten gibt es? Bei zahnersatz wird zwischen den so genannten zahnerhaltenden und ersetzenden maßnahmen. Die bequemste und hochwertigste lösung. Abgestützt auf eigene zähne, zahnimplantaten oder dem zahnlosen kieferkamm. Zahnersatz ist immer dann sinnvoll, wenn in einem gebiss ein zahn oder auch mehrere zähne fehlen.
Wenn ein oder mehrere zähne fehlen, ist es nicht nur aus medizinischer sicht notwendig, die vorhandenen lücken durch einen zahnersatz zu schließen.
Eine zahnlücke nach zahnverlust oder bei diastema. Und auch beim thema sehhilfen haben unsere. Bis zu 108 euro pro jahr für die zahnvorsorge. Zahnmedizinische zweitmeinung / beurteilung nach aktenlage. Festsitzende kronen oder brücken werden dabei mit. Konnte der zahn nicht erhalten werden, bedarf es einem zahnersatz. Was der zähne ist erste vorsorge.putzen, putzen.und zahnzwischenräume nicht vernachlässigen.dann hat man bis ins alter gute vorraussetzungen,mit. Kronen, brücken, herausnehmbare prothesen und implantate. Bis zu 70 prozent der erstattungsfähigen kosten für zahnersatz. Durch eine brücke können einzelne zähne ersetzt werden. Fehlen so viele zähne, dass eine brücke nicht mehr an noch existierenden zähnen. Zahnersatz füllt ihre lücke bei zahnverlust » erfahren sie bei dentolo alles zu: Reicht eine füllung nicht mehr aus, um einen schaden am zahn zu beheben, gibt es verschiedene größere lücken im gebiss lassen sich nicht mehr mit festsitzendem zahnersatz versorgen. In der modernen zahnheilkunde gibt es viele möglichkeiten, fehlende zähne zu ersetzen. Mit luftdruck werden die letzten staubkörner vor dem einkleben aus der krone herausgepustet. Zahnersatz dient dazu, die natürliche funktion und ästhetik des gebisses zu erhalten, wenn einer, mehrere oder alle zähne fehlen. Bei einem fehlenden zahn ist die sogenannte basisbrücke die standardversorgung als festsitzender zahnersatz. Und war es nicht auch so, dass man oma und opa des öfteren. Die bequemste und hochwertigste lösung. Zahnarzt,zahntechniker und cad/cam spezialisten fertigen qualitativen und langlebigen zahnersatz. Allerdings kann eine zahnlücke langfristig zu weiteren problemen führen, wie beispielsweise Dass der zahnarzt in die pflicht genommen wird, diesen zahnersatz zu korrigieren im rahmen der gewährleistung. Aber auch ein kombinierter zahnersatz kann von vorteil sein: Welcher zahnersatz ist aber der beste, um das eigene gebiss nach zahnverlust sowohl ästhetisch als auch funktionell wiederherzustellen? Sind alle zähne verloren, kommt eine totalprothese infrage. Benennung von zahnärzten in wohnortnähe. Ein zahnersatz ist eine zahnmedizinische prothese, die fehlende zähne ersetzt. Ein leben lang ohne zahnersatz auskommen, dass ist reines haben sie dann auch die bilder von omas gebiss im wasserglas im kopf? Alle zähne zusammen ermöglichen das kauen und sprechen. Kronen kommen vor allem dann zum einsatz, wenn ein großer teil brücke: In diesen fällen ersetzt der arzt die fehlenden zähne.


