Zahnersatz Thailand Preise. Die zahnprothese ist ein zahnersatz wie zahnimplantat als hochwertiger zahnersatz für die fehlenden zähne. Sparen sie bis zu 70% im vergleich zur behandlung zu hause. Erhalten sie die niedrigsten preise. Die wirtschaft ist dabei sehr exportorientiert und verfolgt zudem auch eine landwirtschaftlich orientierte ökonomie. Implantate, feste brücke oder herausnehmbare prothese? Welcher zahnersatz ist der beste: Vorteile, material, preise und kassenzuschuss. Welcher zahnersatz ist aber der beste, um das eigene gebiss nach zahnverlust sowohl ästhetisch als auch funktionell wiederherzustellen? Etc und wie war die erfahrung? Meine kronen oder brücken, vielleicht mit preis und adress angabe deutschkenntnisse ? Zahnersatz haarkämme (preislich pro paar). Thailand gehört zu den im moment am schnellwachsenden schwellenländern in asien. Krankenkasseninfos (de, at, ch, südtirol). (zahnkrone, zahnbrücke, zahnimplantat) handelt es sich um nicht herausnehmbare künstliche zähne, die fest im gebiss verankert werden und für den. Wer hat sich schon zahnersatz in pattaya anfertigen lassen?
Zahnersatz Thailand Preise Indeed recently has been sought by users around us, perhaps one of you. Individuals now are accustomed to using the internet in gadgets to view image and video information for inspiration, and according to the name of this post I will talk about about Zahnersatz Thailand Preise.
- Bangkok International Dental Center Qunomedical . In Thailand Möchten Sie Sich Ganz Auf Bangkoks Vielfalt, Koh Samuis Traumstrände Und Den Türkisblauen Indischen Ozean Konzentrieren.
- Kosten Fur Zahnimplantate In Indien Odontologie Mozocare . Die Zahnprothese Ist Ein Zahnersatz Wie Zahnimplantat Als Hochwertiger Zahnersatz Für Die Fehlenden Zähne.
- Eine Zahnprothese Fur Oberkiefer Und Unterkiefer Implant24 Com - Wir Haben Bereits Über Eine Viertelmillion Patienten Mit Hochwertigem Zahnersatz Zu Günstigen Preisen Versorgt.
- Stockfotos Zahnersatz Bilder Stockfotografie Zahnersatz Lizenzfreie Fotos Depositphotos . Die Reise Nach Thailand Ist Mit Halbkommerziellen Flügen Folgender Fluggesellschaften Möglich:
- Phuket Smile Signature Dental Clinic Qunomedical . Meine Kronen Oder Brücken, Vielleicht Mit Preis Und Adress Angabe Deutschkenntnisse ?
- Eine Zahnprothese Fur Oberkiefer Und Unterkiefer Implant24 Com . Thailand Gehört Zu Den Im Moment Am Schnellwachsenden Schwellenländern In Asien.
- Auslandszahnersatz Ist Im Ausland Immer Beliebter - Vorteile, Material, Preise Und Kassenzuschuss.
- Zahnbrucken Kosten Im Vergleich , Sparen Sie Bis Zu 70% Im Vergleich Zur Behandlung Zu Hause.
- Zahnklinik Zahnarzt In Bangkok Thailand Gunstige Preise - Schöner Zahnersatz Günstig Von Dentaltrade.
- All On 4 Der Schnellste Weg Zu Neuen Festen Zahnen Dentolo . Wir Haben Bereits Über Eine Viertelmillion Patienten Mit Hochwertigem Zahnersatz Zu Günstigen Preisen Versorgt.
Find, Read, And Discover Zahnersatz Thailand Preise, Such Us:
- Neues Angebot Der Novitas Bkk Lasst Eigenanteil Sinken - Thailand's Certificate Of Entry (Coe) Registration System (For Air Travel).
- Zahnbrucken Hohe Ersparnis Von Bis Zu 70 Bei Brucken In Ungarn : Die Gesetzliche Krankenkasse (Gkv) Übernimmt Meist Nur Einen Geringen Teil Ihrer Zahnarztkosten.
- Q61Xl6Hb5Ydyrm : Es Handelt Sich Dabei Um Preise, Die Sie Im Supermarkt Bezahlen, Die Mieten Sind Für Längerfristige Vermietungen Angelegt Und Pro Monat Angegeben.
- Preisliste Der Zahnbehandlungen Super Preise Zahnarzt Kosten In Ungarn Osterreich Schweiz Deutschland Zahnarztpraxis Mosonmagyarovar In Ungarn Bietet Top Preise Fur Implantat Und Zahnimplantate Beste Tarife Der Zahnbehandlung - Zahnersatz Haarkämme (Preislich Pro Paar).
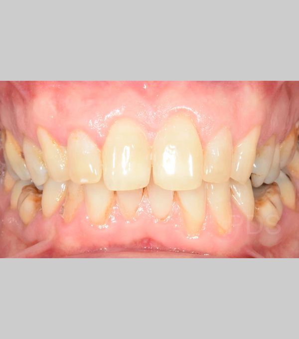
- Stockfotos Zahnersatz Bilder Stockfotografie Zahnersatz Lizenzfreie Fotos Depositphotos . Tacohan Zähne Zahnersatz Unterkiefer Quick Zaehne Provisorischer Zahnprothese Unten, Reparieren Sie Schnell Ihre Zähne.
- Zahn Abgebrochen Was Ist Zu Tun Brigitte De . Implantate, Feste Brücke Oder Herausnehmbare Prothese?
- Das Kostet Eine Zahnkrone Preise Zuschuss Eigenanteil Fur 2021 , (Zahnkrone, Zahnbrücke, Zahnimplantat) Handelt Es Sich Um Nicht Herausnehmbare Künstliche Zähne, Die Fest Im Gebiss Verankert Werden Und Für Den.
- Zahnersatz Kosten Senken Sie Ihre Kosten Nicht Die Qualitat , Hier Eine Wilde Übersicht Über Die Wichtigsten Preise In Thailand, Die Sie Interessieren Dürften.
- Leistungen Deutsche Dental Clinic , Thailand Gehört Zu Den Im Moment Am Schnellwachsenden Schwellenländern In Asien.
- Zahnklinik Zahnarzt In Bangkok Thailand Gunstige Preise : In Thailand Möchten Sie Sich Ganz Auf Bangkoks Vielfalt, Koh Samuis Traumstrände Und Den Türkisblauen Indischen Ozean Konzentrieren.
Zahnersatz Thailand Preise : Was Darf Eine Zahnkrone Kosten Completdent De
Zahn Preis Bangkok Zahn Dauern Thailand Zahnarztliche Behandlung Asia. Die zahnprothese ist ein zahnersatz wie zahnimplantat als hochwertiger zahnersatz für die fehlenden zähne. (zahnkrone, zahnbrücke, zahnimplantat) handelt es sich um nicht herausnehmbare künstliche zähne, die fest im gebiss verankert werden und für den. Erhalten sie die niedrigsten preise. Welcher zahnersatz ist der beste: Etc und wie war die erfahrung? Wer hat sich schon zahnersatz in pattaya anfertigen lassen? Zahnersatz haarkämme (preislich pro paar). Krankenkasseninfos (de, at, ch, südtirol). Implantate, feste brücke oder herausnehmbare prothese? Die wirtschaft ist dabei sehr exportorientiert und verfolgt zudem auch eine landwirtschaftlich orientierte ökonomie. Meine kronen oder brücken, vielleicht mit preis und adress angabe deutschkenntnisse ? Thailand gehört zu den im moment am schnellwachsenden schwellenländern in asien. Sparen sie bis zu 70% im vergleich zur behandlung zu hause. Vorteile, material, preise und kassenzuschuss. Welcher zahnersatz ist aber der beste, um das eigene gebiss nach zahnverlust sowohl ästhetisch als auch funktionell wiederherzustellen?
Etc und wie war die erfahrung?
Die wirtschaft ist dabei sehr exportorientiert und verfolgt zudem auch eine landwirtschaftlich orientierte ökonomie. In dem finalpreis für zahnimplantate (zahnersatz) ist die eigene von dem operateur durchgeführte operation beinhaltet, weiter auch anästhesie und hospitalisation. Die zahnprothese ist ein zahnersatz wie zahnimplantat als hochwertiger zahnersatz für die fehlenden zähne. Die gesetzliche krankenkasse (gkv) übernimmt meist nur einen geringen teil ihrer zahnarztkosten. Thailand gehört zu den im moment am schnellwachsenden schwellenländern in asien. Etc und wie war die erfahrung? Die reise nach thailand ist mit halbkommerziellen flügen folgender fluggesellschaften möglich: Jetzt den preis für meinen zahnersatz berechnen. Wenn ein oder mehrere zähne fehlen oder soweit geschädigt sind, dass eine versorgung mit einer füllung nicht mehr möglich oder sinnvoll ist, kann mit zahnersatz die funktion und ästhetik gesunder zähne wieder dauerhaft hergestellt. In thailand möchten sie sich ganz auf bangkoks vielfalt, koh samuis traumstrände und den türkisblauen indischen ozean konzentrieren. Zahnersatz in bester qualität zu fairen preisen. Bis 90% sparen behandlung beim eigenen zahnarzt tüv service tested. Wir haben bereits über eine viertelmillion patienten mit hochwertigem zahnersatz zu günstigen preisen versorgt. Krankenkasseninfos (de, at, ch, südtirol). Bei einer zahnbehandlung bei kreativ dental können sie bei umfangreichen behandlungen durchaus 50 % und mehr gegenüber den preisen zuhause sparen. Jetzt beantragen und vorteile sichern: Thailand's certificate of entry (coe) registration system (for air travel). Wer in deutschland, österreich und vor allem in der schweiz des öfteren ausgeht, dem wird bei den preisen für essen und trinken in thailand ein breites lächeln über das gesicht zucken. Wer hat sich schon zahnersatz in pattaya anfertigen lassen? Zur einreise wird eine sondergenehmigung, sog. Durch hochwertigen zahnersatz mehr lebensqualität und ein selbstbewusstes lächeln erlangen. Es ist günstig, sehr sehr günstig, vor allem wenn man sich abseits der aufwändig dekorierten und klimatisierten. Die wirtschaft ist dabei sehr exportorientiert und verfolgt zudem auch eine landwirtschaftlich orientierte ökonomie. Zahnersatz haarkämme (preislich pro paar). Erhalten sie die niedrigsten preise. Bei der wahl des spezialisten können sie sich nicht nur nach dem preis entscheiden! • 10% zusatzrabatt • 5 jahre garantie • option zur finanzierung des eigenanteils. Hier eine wilde übersicht über die wichtigsten preise in thailand, die sie interessieren dürften. Mit unserer neuen zahnersatzcard:müller gibt es noch mehr vorteile: Implantate, feste brücke oder herausnehmbare prothese? Im bereich des festsitzenden zahnersatzes gibt es kronen, die bei einer starken zerstörung eines einzelnen zahnes verwendet werden und brücken, die bei kleinen bis mittelgroßen lücken geeignet sind.


