Zahnersatz Brücke Unterkiefer. Auf den implantaten kann ein festsitzender zahnersatz in form einer brücke verankert werden. In den zahnlosen unterkiefer werden fünf bis sechs implantate eingesetzt. Zahnersatz ersetzt verloren gegangene zähne: Brücken kommen zum einsatz, wenn eine kleine oder auch größere lücke im gebiss geschlossen werden soll. Welcher zahnersatz ist aber der beste, um das eigene gebiss nach zahnverlust sowohl ästhetisch als auch. Zahnersatz (abkürzung ze) ist der sammelbegriff für jegliche form des ersatzes fehlender natürlicher zähne. Oft werden diese zahnprothesen provisorisch genutzt, bis. Bei der zahnmedizinischen versorgung einer zahnlücke durch eine brücke gibt es unterschiedliche zahnbrückenarten. Darüber hinaus muss sichergestellt werden, dass stabile pfeilerzähne vorhanden sind, auf welchen die brücke später aufbauen kann. Einen herausnehmbaren zahnersatz bezeichnet man als zahnprothese. Eine brücke als zahnersatz dient zur schließung einer zahnlücke, die einen oder mehrere zähne umfassen kann. Festsitzende durch steg verbundene brücke auf implantaten: Abgestützt auf eigene zähne, zahnimplantaten oder dem zahnlosen kieferkamm. Die planung, herstellung und eingliederung von zahnersatz fällt unter die zahnmedizinische fachrichtung prothetik. Im dargestellten beispiel wurden sechs implantate eingesetzt.
Zahnersatz Brücke Unterkiefer Indeed recently is being hunted by consumers around us, maybe one of you. Individuals now are accustomed to using the net in gadgets to see image and video information for inspiration, and according to the title of the article I will discuss about Zahnersatz Brücke Unterkiefer.
- Zahnbrucke Mit Diesen Kosten Ist Beim Zahnersatz Zu Rechnen - Professioneller Zahnersatz Mit Kronen, Brücken Und Prothesen Bei 360°Zahn.
- Alternative Zum Zahnersatz Implantatgetragene Vollprothese . Eine Brücke Als Zahnersatz Eignet Sich Besonders Zum Schließen Einzelner Zahnlücken.
- Kosten Fur Eine Feste Brucke Auf Zahnimplantaten : Bei Einer Brücke Handelt Es Sich Um Von Zähnen Oder Implantaten Getragenen Zahnersatz.
- Herausnehmbare Zahnprothesen Bei Zahnlucken Und Zahnverlust - Zahntechnisch Gefertigte Ersatzzähne Werden An Den Noch Verbliebenen Zähnen Verankert.
- Zahnarzt Marburg Dr Jochum Kombinierter Zahnersatz Prothese Mit Teleskopkronen Marburger Doppelkronen Unbegrenzt Erweiterbar : Zahnersatz (Abkürzung Ze) Ist Der Sammelbegriff Für Jegliche Form Des Ersatzes Fehlender Natürlicher Zähne.
- Schoner Zahnersatz Aus Hannover Krone Brucke Prothese , In Den Zahnlosen Unterkiefer Werden Fünf Bis Sechs Implantate Eingesetzt.
- Zahnbrucke Kosten Dentaltrade : Als Pfeiler Für Die Vom Zahntechniker Angefertigte Brücke Dienen Die Beiden Angrenzenden Zähne, Die Dafür.
- Zahnbrucke Wann Ist Sie Sinnvoll Welches Material Wie Teuer . Einen Herausnehmbaren Zahnersatz Bezeichnet Man Als Zahnprothese.
- Schoner Zahnersatz Aus Hannover Krone Brucke Prothese . Auf Den Implantaten Kann Ein Festsitzender Zahnersatz In Form Einer Brücke Verankert Werden.
- Fragen Und Antworten Rund Um Das Thema Zahnprothesen : Zahnbrücke (Hier Als Festsitzender Zahnersatz).
Find, Read, And Discover Zahnersatz Brücke Unterkiefer, Such Us:
- So Wird Zahnersatz Befestigt , Brücken Dienen Dem Zahnersatz Eines Oder Gegebenenfalls Auch Mehrerer Zähne.
- Imex Zahnersatz Eine Geschiebeprothese Halt Nach Dem Prinzip Der Haftreibung Und Wird Meistens An Den Uberkronten Restzahnen Verankert Imex Zahnersatz , Bei Einer Brücke Handelt Es Sich Um Von Zähnen Oder Implantaten Getragenen Zahnersatz.
- Feste Zahne An Einem Tag Sofortimplantate In Munchen : Der Begriff Implantatgetragener Zahnersatz Bzw.
- Herausnehmbare Brucken Bequem Sicher Langlebig , Zahnbrücke Mit Einem Brückenzwischenglied (Einspannige Brücke) Mit Mehreren Zwischengliedern (Mehrspannige Brücke).
- Kuratorium Perfekter Zahnersatz Unterkiefer . Auf Den Implantaten Kann Ein Festsitzender Zahnersatz In Form Einer Brücke Verankert Werden.
- Teleskopprothese Kosten Behandlungsablauf , Die Pfeilerzähne, An Denen Die Brücke Durch Kronen Rund Drei Prozent Der Senioren Kauen Mittlerweile Mit Solchem Zahnersatz.
- Teleskopprothese Kosten Und Preisvergleich Bis Zu 80 Sparen : Die Brücke Ist Eine Klassische Versorgungsart Bei Einzelnen Zahnlücken, Die Von Eigenen, Noch Gesunden Zähnen Eingerahmt Werden.
- Zahnprothetik Und Zahnersatz Raum Limburg Zahn Docs Diez - Brücken Kommen Zum Einsatz, Wenn Eine Kleine Oder Auch Größere Lücke Im Gebiss Geschlossen Werden Soll.
- Teleskopprothesen Moderner Zahnersatz Plus Lebensqualitat . Zahnbrücke Mit Einem Brückenzwischenglied (Einspannige Brücke) Mit Mehreren Zwischengliedern (Mehrspannige Brücke).
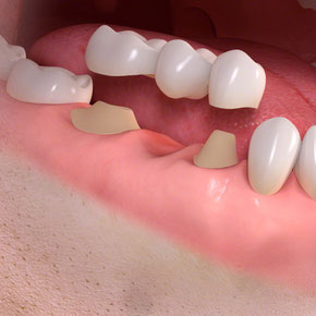
- Zahnersatz Brucke Medizinische Illustration Und Grafik : Sie Wird Mit Hilfe Von Kronen, Die Auf Sogenannte Pfeilerzähne (Natürliche Zähne Oder Implantate) Aufgesetzt Werden, Im Gebiss Befestigt.
Zahnersatz Brücke Unterkiefer . Zahnbrucke Materialien Kosten Und Haltbarkeit Focus Arztsuche
Zahnprothese Festsitzend Oder Herausnehmbare Teil Und Vollprothesen. Zahnersatz ersetzt verloren gegangene zähne: In den zahnlosen unterkiefer werden fünf bis sechs implantate eingesetzt. Festsitzende durch steg verbundene brücke auf implantaten: Bei der zahnmedizinischen versorgung einer zahnlücke durch eine brücke gibt es unterschiedliche zahnbrückenarten. Oft werden diese zahnprothesen provisorisch genutzt, bis. Abgestützt auf eigene zähne, zahnimplantaten oder dem zahnlosen kieferkamm. Brücken kommen zum einsatz, wenn eine kleine oder auch größere lücke im gebiss geschlossen werden soll. Zahnersatz (abkürzung ze) ist der sammelbegriff für jegliche form des ersatzes fehlender natürlicher zähne. Eine brücke als zahnersatz dient zur schließung einer zahnlücke, die einen oder mehrere zähne umfassen kann. Im dargestellten beispiel wurden sechs implantate eingesetzt. Die planung, herstellung und eingliederung von zahnersatz fällt unter die zahnmedizinische fachrichtung prothetik. Einen herausnehmbaren zahnersatz bezeichnet man als zahnprothese. Welcher zahnersatz ist aber der beste, um das eigene gebiss nach zahnverlust sowohl ästhetisch als auch. Auf den implantaten kann ein festsitzender zahnersatz in form einer brücke verankert werden. Darüber hinaus muss sichergestellt werden, dass stabile pfeilerzähne vorhanden sind, auf welchen die brücke später aufbauen kann.
Eine brücke als zahnersatz dient zur schließung einer zahnlücke, die einen oder mehrere zähne umfassen kann.
Abgestützt auf eigene zähne, zahnimplantaten oder dem zahnlosen kieferkamm. In den zahnlosen unterkiefer werden fünf bis sechs implantate eingesetzt. Welcher zahnersatz ist aber der beste, um das eigene gebiss nach zahnverlust sowohl ästhetisch als auch. Zahnbrücke (hier als festsitzender zahnersatz). Wann macht man zahnkronen, wann zahnbrücken und wann zahnprothesen? Zahnimplantat bezeichnet einen zahnersatz, der auf künstliche zahnwurzeln befestigt wird. Zahnersatz ersetzt verloren gegangene zähne: Im dargestellten beispiel wurden sechs implantate eingesetzt. Abgestützt auf eigene zähne, zahnimplantaten oder dem zahnlosen kieferkamm. Professioneller zahnersatz mit kronen, brücken und prothesen bei 360°zahn. Der begriff implantatgetragener zahnersatz bzw. In diesen fällen ersetzt der arzt die fehlenden zähne. Bei einer brücke handelt es sich um von zähnen oder implantaten getragenen zahnersatz. Eine brücke als zahnersatz dient zur schließung einer zahnlücke, die einen oder mehrere zähne umfassen kann. Sowohl die oben aufgeführten möglichen nachteile einer zahnbrücke als auch sämtliche individuellen risiken bei implantaten sollten in einer. Sie dienen als alternativer zahnersatz, um im gebiss mehrere fehlende zähne ohne oder mit möglichst wenigen zahnimplantaten zu ersetzen, wenn eine versorgung über eine brücke nicht möglich ist. Die brücke ist eine klassische versorgungsart bei einzelnen zahnlücken, die von eigenen, noch gesunden zähnen eingerahmt werden. Mit der zeit sind sie anfälliger für zahnerkrankungen, fallen manchmal aus oder müssen. Schleimhautgetragene prothese zum ersatz der gesamten zahnreihe, die im unterkiefer den kieferknochen allein, im oberkiefer zusätzlich den harten gaumen bedeckt. Drei bis fünf monaten fest mit dem knochen verwachsen ist, kann der prothetische aufbau erfolgen. Die pfeilerzähne, an denen die brücke durch kronen rund drei prozent der senioren kauen mittlerweile mit solchem zahnersatz. Brücken kommen zum einsatz, wenn eine kleine oder auch größere lücke im gebiss geschlossen werden soll. Festsitzende durch steg verbundene brücke auf implantaten: Welche möglichkeiten moderner zahnersatz bietet. Darüber hinaus muss sichergestellt werden, dass stabile pfeilerzähne vorhanden sind, auf welchen die brücke später aufbauen kann. Die teleskopbrücke ist eine mischform zwischen festsitzendem und herausnehmbarem zahnersatz (kombinierter zahnersatz) und bietet sich an, wenn einer der pfeilerzähne aus diesem grund werden schwebebrücken vorwiegend im unterkiefer verwendet. Auf den implantaten kann ein festsitzender zahnersatz in form einer brücke verankert werden. Der dentale werkstoff einer zahnbrücke kann ganz unterschiedlich sein, denn sie. Eine brücke als zahnersatz eignet sich besonders zum schließen einzelner zahnlücken. Sobald das implantat nach ca. Wenn ein zahn fehlt, gerät das gefüge des gebisses aus dem gleichgewicht.

