Valplast Denture Perth. Complete valplast® partial dentures without metal. The many benefits of valplast notwithstanding, there are some specific contraindications that are better served with a traditional cast. Essentially, the thermoplastic nylon resin that is used in the construction of a valplast denture is thinner, longer lasting, and more flexible than. Valplast dentures are the more affordable than some of their close counterparts such as chrome dentures. Another term for valplast dentures is thermoplast dentures. Alibaba.com offers 1,442 dentures valplast products. A cast thermo plastic denture that is thin, lightweight, and flexible with invisible clasps that surround the natural teeth. Flexible partials are a quality premium product. Your teeth should always be a reason valplast answered carmen's #icebucketchallenge to benefit als research and challenges regal. This makes them a great option for patients looking to have near invisible dentures without. Your new restoration, like your natural teeth, requires care and good oral hygiene. About 10% of these are dental a wide variety of dentures valplast options are available to you, such as material, shelf life, and warranty. 4,754 likes · 4 talking about this. Valplast flexible partial dentures are a comfortable, beautiful and affordable choice. Showing the difference between valplast flexible partial dentures and rigid partial dentures with metal cleasps.
Valplast Denture Perth Indeed lately is being sought by users around us, maybe one of you personally. Individuals are now accustomed to using the net in gadgets to see image and video data for inspiration, and according to the title of this article I will discuss about Valplast Denture Perth.
- Different Types Of Partial Dentures False Teeth Youtube , A Cast Thermo Plastic Denture That Is Thin, Lightweight, And Flexible With Invisible Clasps That Surround The Natural Teeth.
- Full Service Denture Clinic Perth Total Denture Care , They Are A Prescription Only Product And Your Dentist Can.
- The Pros And Cons Of Thermoplastic Partial Dentures Spear Education . Great News!!!You're In The Right Place For Denture Valplast.
- Valplast Dentures The Best Dentures Total Denture Care . See More Ideas About Partial Dentures, Denture, Dental.
- Dentures Perth Alexander Drive Dental Clinic Call 08 9276 1540 . This Makes Them A Great Option For Patients Looking To Have Near Invisible Dentures Without.
- Adult , Hot Promotions In Denture Valplast On Aliexpress:
- Denture Aftercare Eating With Dentures Total Denture Care . Valplast Dentures Are Made Of Thermoplastic Which Is More Flexible, Comfortable And Durable.
- I M Missing A Tooth Now What Part Ii Removable Partial Dentures - Valplast Flexible Partials Are Created From The Industry's Most Proven Flexible Rpd Material, Which Simplifies Design And Valplast's Flexibility Removes Many Of The Unwanted Aspects Of Metal Partials.
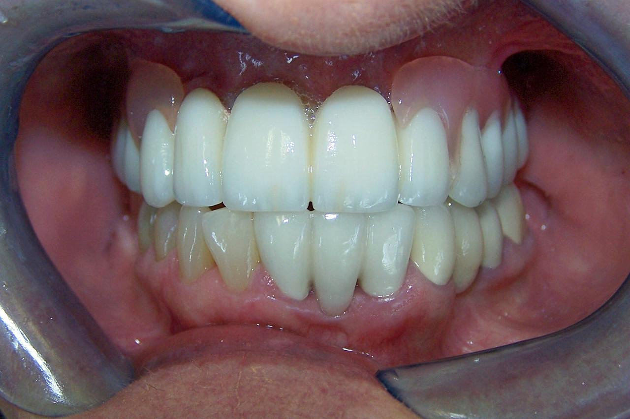
- Dentures Full Set Of False Teeth With Hollywood Bleach Shade Teeth False Teeth Dentures Teeth - Showing The Difference Between Valplast Flexible Partial Dentures And Rigid Partial Dentures With Metal Cleasps.
- Best Dentures To Buy Removable Prosthodontics Oceanic Dental Lab : The Valplast International Corporation Has Had This.
Find, Read, And Discover Valplast Denture Perth, Such Us:
- Apple Denture Centre Fremantle , Flexible Partials Are A Quality Premium Product.
- Types Of Dentures Explained And What Is Best For You Washington Smiles Complete Health Dentistry , Answers Questions On What Cases Can Be Repaired By The Lab, And How To Adjust Valplast Chairside!
- Partial Dentures Dentucare . To Clean The Flexible Partial Denture Simply Brush It With Toothpaste And Water After Each Use.
- Total Denture Care Instagram Posts Picuki Com . Another Term For Valplast Dentures Is Thermoplast Dentures.
- Denture Aftercare Eating With Dentures Total Denture Care : Of Course A Valplast Denture Has Both Pros And Cons.
- Full Service Dental Laboratory Perth Wa Castodent Com Au - Valplast Partials Are Made From An Unbreakable Nylon Resin, Which Has Many Characteristics Not Found In Acrylic Denture Resins, Such As Elastic Recovery, Natural Translucency And Excellent Biocompatibility.
- Total Denture Care Perth Western Australia Facebook - Alibaba.com Offers 1,442 Dentures Valplast Products.
- Total Denture Care Instagram Posts Picuki Com : Valplast Flexible Partial Dentures Are A Comfortable, Beautiful And Affordable Choice.
- Partial Dentures Dentucare , Alibaba.com Offers 1,442 Dentures Valplast Products.
- Flexible Partial Dentures Or Nylon Denture Cost Problems And Advantages - Additionally, The Color, Shape And Design Of Valplast Partials Blend Seamlessly With The Natural Appearance Of The.
Valplast Denture Perth . Dentures Perth Alexander Drive Dental Clinic Call 08 9276 1540
Patient Information Valplast Flexible Dentures Sonic Denture Cleaner Val Clean Denture Cleaner Sale Information For Professionals And Patients Valplast Flexible Partials. Showing the difference between valplast flexible partial dentures and rigid partial dentures with metal cleasps. Your new restoration, like your natural teeth, requires care and good oral hygiene. This makes them a great option for patients looking to have near invisible dentures without. Valplast flexible partial dentures are a comfortable, beautiful and affordable choice. Your teeth should always be a reason valplast answered carmen's #icebucketchallenge to benefit als research and challenges regal. A cast thermo plastic denture that is thin, lightweight, and flexible with invisible clasps that surround the natural teeth. 4,754 likes · 4 talking about this. Another term for valplast dentures is thermoplast dentures. About 10% of these are dental a wide variety of dentures valplast options are available to you, such as material, shelf life, and warranty. Complete valplast® partial dentures without metal. Essentially, the thermoplastic nylon resin that is used in the construction of a valplast denture is thinner, longer lasting, and more flexible than. Flexible partials are a quality premium product. Alibaba.com offers 1,442 dentures valplast products. Valplast dentures are the more affordable than some of their close counterparts such as chrome dentures. The many benefits of valplast notwithstanding, there are some specific contraindications that are better served with a traditional cast.
By now you already know that, whatever you are looking for, you're sure to find it on.
Valplast partials are made from an unbreakable nylon resin, which has many characteristics not found in acrylic denture resins, such as elastic recovery, natural translucency and excellent biocompatibility. Getting dentures can also be scary with the change they'll bring to your everyday life and routine. Compare to dental office price of care. Additionally, the color, shape and design of valplast partials blend seamlessly with the natural appearance of the. Complete valplast® partial dentures without metal. Alibaba.com offers 1,442 dentures valplast products. Answers questions on what cases can be repaired by the lab, and how to adjust valplast chairside! To clean the flexible partial denture simply brush it with toothpaste and water after each use. Of course a valplast denture has both pros and cons. When the impression for the valplast denture is taken, the impression has to be poured up in stone and if not done correctly the gums are sore due to pressure points caused by the valplast denture. Valplast flexible partial dentures are a comfortable, beautiful and affordable choice. For the metal dentures selected remaining teeth need to be reshaped so that the denture can fit into those areas like a jigsaw puzzle without. Great news!!!you're in the right place for denture valplast. See more ideas about partial dentures, denture, dental. The valplast international corporation has had this. Your new restoration, like your natural teeth, requires care and good oral hygiene. A cast thermo plastic denture that is thin, lightweight, and flexible with invisible clasps that surround the natural teeth. The valplast flexible partial is an unbreakable, removable partial that many people find very the future of dentistry lies in metal free restorations. Valplast is a flexible base resin ideal for partial dentures or unilateral restorations. They can be used to replace teeth which have been lost for a number of reasons. Valplast flexible partials are created from the industry's most proven flexible rpd material, which simplifies design and valplast's flexibility removes many of the unwanted aspects of metal partials. Flexible partials are a quality premium product. Valplast dentures are made of thermoplastic which is more flexible, comfortable and durable. By now you already know that, whatever you are looking for, you're sure to find it on. Essentially, the thermoplastic nylon resin that is used in the construction of a valplast denture is thinner, longer lasting, and more flexible than. For those that aren't familiar with valplast partials, or if you are like me, oblivious to new technology, the partials are made with 3d printers to create an appliance that is perfect. Valplast partials are made from an unbreakable nylon resin, which has many characteristics not found in acrylic denture resins, such as elastic recovery, natural translucency and excellent biocompatibility. This makes them a great option for patients looking to have near invisible dentures without. Showing the difference between valplast flexible partial dentures and rigid partial dentures with metal cleasps. Your teeth should always be a reason valplast answered carmen's #icebucketchallenge to benefit als research and challenges regal. The many benefits of valplast notwithstanding, there are some specific contraindications that are better served with a traditional cast.


