Permanent Fixed Full Dentures. There is no risk of them shifting or falling out. Advanced dental technology has given modern patients the ability to resolve these issues with permanent dentures. The acrylic permanent denture is less expensive to replace than the fixed hybrid or zirconia bridge. While they are made of synthetic material, they are designed to look and. That means that they feel exactly like natural teeth. These implant dentures are not removable like common dentures. You can't accidentally misplace them either! Fixed dentures are more permanent, typically have a different cleaning process, and can only be finally, full dentures will be created and attached to the connecting device. Dental implant dentures are mostly made using titanium and they may be either fixed into the jaw bone or onto the jaw bone. Regular dentures are not fixed in place and they are removable. Permanent dentures are available in many forms, from a set of full dentures to dental partials, denture implants, and permanent dental bridges and crowns. We've had clients start with denture implants due to budget constraints. Denture implants or permanent dentures are false teeth that are affixed to the bone in the jaw. Dental implants are surgically implanted into the jawbone. By the way, your dentist can add 2 or more implants at any time to upgrade your snap in denture to a fixed bridge teeth.
Permanent Fixed Full Dentures Indeed lately is being sought by consumers around us, perhaps one of you. Individuals are now accustomed to using the internet in gadgets to view image and video data for inspiration, and according to the name of the post I will talk about about Permanent Fixed Full Dentures.
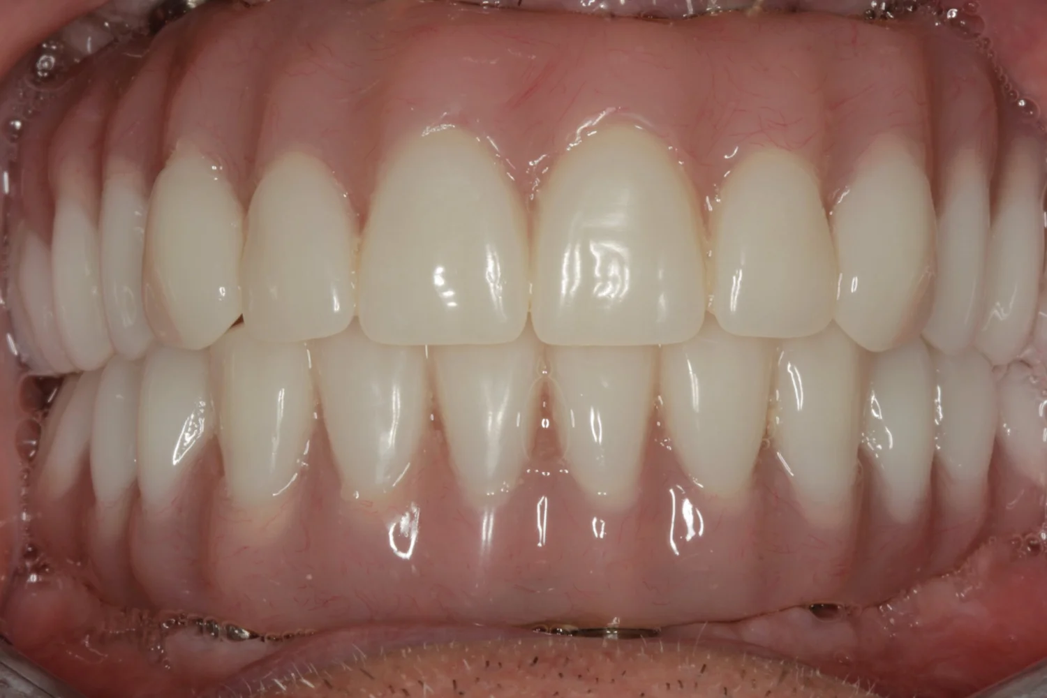
- Full Dental Implants Cost All On 4 Vs Snap On Dentures - Permanent Dentures Are Firmly Attached To The Mouth By Means Of Dental Implants.
- Denture Implants Implant Retained Dentures Procedure Costs Faq Electric Teeth Uk : When Permanent Cosmetic Dentures Are Required The Price.
- Dental Implant Permanent Teeth Replacement Types Advantage Disadvantage By Deccan Hospital By Deccanmultispecialhardikarhospital Issuu , All Dental Implants Require A Month Or So Of Healing To Be Ready For The Permanent Zirconium Or Titanium Teeth To.
- All On 4 Dental Implants Full Mouth Dental Implants Clearchoice : It Is Only Removable By The.
- All On 4 Implants Garland Tx Firewheel Dental Implants . Getting Implants To Maintain Dentures In Place Is An Expensive Procedure.
- Dental Implants Portsmouth Nh Dentist 603 427 0043 . Upper And Lower Dentures Can Be Made With Many Different Materials.
- Fixed Implant Bridges Non Removable Dental Implant Center - Having Fixed Permanent Dental Implant Teeth Is A Process.
- Dentures Complete Guide To Types Costs Benefits - A Basic Appliance Can Cost Just A Few.
- Full Or Partial Dentures Middleburg Smiles : Unlike Removable Dentures, Permanent Dentures Do Offer Greater Longevity.
- All On 4 Fixed Implant Supported Hybrid Bridge Smile More Dental , Learn More About Denture Cost, Types, Insurance, And Benefits Of False Teeth.
Find, Read, And Discover Permanent Fixed Full Dentures, Such Us:
- Denture Implants Implant Retained Dentures Procedure Costs Faq Electric Teeth Uk - A Basic Appliance Can Cost Just A Few.
- What Are Denture Implants Permanent Dentures Cost Overdentures Snap In Boise Meridian Idaho - These Implant Dentures Are Not Removable Like Common Dentures.
- Permanent Denture Options Pros Cons Beverlyhillsladetist Com , A Denture Or False Teeth Is A Dentistry Device To Replace Your Missing Teeth.
- Dental Implants In Airdrie Alberta Woodside Denture Centre - Having Fixed Permanent Dental Implant Teeth Is A Process.
- Dentures Manila Philippines Prosthodontics : Discover Affordable Full Dentures From Aspen Dental Today.
- Managing Phonetic Complications Arising In Full Arch All On 4 Hybrid Cases Dentistryiq , Getting Implants To Maintain Dentures In Place Is An Expensive Procedure.
- Cost Of Full Mouth Of Dental Implants In Los Angeles : All Dental Implants Require A Month Or So Of Healing To Be Ready For The Permanent Zirconium Or Titanium Teeth To.
- Full Upper Or Lower Arch Replacement Raleigh Nc Dentures - There Is No Risk Of Them Shifting Or Falling Out.
- Fixed Dentures All On Four Treatment Mullane Dental - They Are Custom Made Especially For A Set Of Teeth And Gum Line.
- Largo Hybrid Implant Dentures Dental Implant Solutionz : When Permanent Cosmetic Dentures Are Required The Price.
Permanent Fixed Full Dentures , Dentures Partials Dentistry On Orchard
Cost Of Full Mouth Of Dental Implants In Los Angeles. Dental implant dentures are mostly made using titanium and they may be either fixed into the jaw bone or onto the jaw bone. By the way, your dentist can add 2 or more implants at any time to upgrade your snap in denture to a fixed bridge teeth. Denture implants or permanent dentures are false teeth that are affixed to the bone in the jaw. We've had clients start with denture implants due to budget constraints. Fixed dentures are more permanent, typically have a different cleaning process, and can only be finally, full dentures will be created and attached to the connecting device. These implant dentures are not removable like common dentures. There is no risk of them shifting or falling out. That means that they feel exactly like natural teeth. While they are made of synthetic material, they are designed to look and. The acrylic permanent denture is less expensive to replace than the fixed hybrid or zirconia bridge. Regular dentures are not fixed in place and they are removable. Dental implants are surgically implanted into the jawbone. You can't accidentally misplace them either! Permanent dentures are available in many forms, from a set of full dentures to dental partials, denture implants, and permanent dental bridges and crowns. Advanced dental technology has given modern patients the ability to resolve these issues with permanent dentures.
Regular dentures are not fixed in place and they are removable.
With so many styles of dentures to choose from, we'll help you find a solution that fits your budget and. Alibaba.com offers 1,151 fix dentures products. Permanent dentures also known as fixed dentures are a kind of dental prosthesis that are either fixed or are firmly attached into the mouth with the help of dental implants. Dentures, removable replacements for missing teeth, are available as partial dentures and complete dentures. Permanent dentures are available in many forms, from a set of full dentures to dental partials, denture implants, and permanent dental bridges and crowns. Traditionally, false teeth have been held in place by any remaining teeth and/or the ridges of gum this is especially true for bottom full protheses which are usually the most unstable. We offer a wide range of complete dentures to help enhance your smile and improve check out our complete line of full dentures. Permanent dentures are firmly attached to the mouth by means of dental implants. Dental implants are surgically implanted into the jawbone. While they are made of synthetic material, they are designed to look and. They are screwed into the upper/lower bone to secure them in place. A full denture is used when all of the person's teeth are missing and a partial denture is used since bridges are cemented in place, they are considered a fixed, or permanent denture. About 4% of these are other dental equipments, 2% are dental consumables. Fixed dentures are more permanent, typically have a different cleaning process, and can only be finally, full dentures will be created and attached to the connecting device. This process can vary greatly from as short as one day and can extend up to two years. What are fixed implant dentures? (when is possible, to even more implants.) after the extraction usually 3 month of recovery or healing time is requested. Getting implants to maintain dentures in place is an expensive procedure. The acrylic permanent denture is less expensive to replace than the fixed hybrid or zirconia bridge. Full dentures, otherwise known as complete dentures, are dentures that replace all of your natural teeth. Regular dentures are not fixed in place and they are removable. Dental implant dentures are mostly made using titanium and they may be either fixed into the jaw bone or onto the jaw bone. Fixed implant supported dentures or fixed dentures or hybrid dentures. Denture implants or permanent dentures are false teeth that are affixed to the bone in the jaw. Discover affordable full dentures from aspen dental today. There is no risk of them shifting or falling out. Fixed dentures (permanent dentures) are fixed over at least 6 implants. You can't accidentally misplace them either! Advanced dental technology has given modern patients the ability to resolve these issues with permanent dentures. All dental implants require a month or so of healing to be ready for the permanent zirconium or titanium teeth to. A basic appliance can cost just a few.


