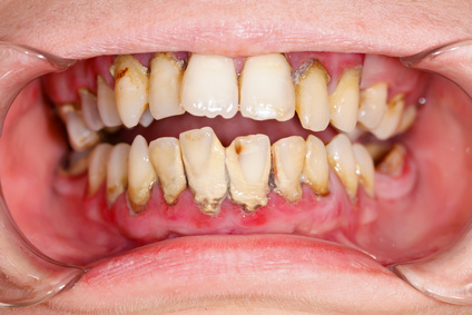
Parodontose Zahnersatz. Fester zahnersatz herausnehmbarer zahnersatz hilfe bei parodontose. Klicken sie jetzt auf das thema, das. Parodontitis, häufig auch parodontose genannt, bezeichnet eine bakterielle entzündung des zahnbettes (den zahn umgebendes und stabilisierendes gewebe und knochen). Empfohlene zahnärzte für parodontitis in neuss » parodontosebehandlung » mit 15 empfehlungen von patienten. Auch die noch vorhanden zähne sind meist vom knochenabbau betroffen und ihrer belastbarkeit möglicherweise. Welche therapie ist besonders vielversprechend? Zahnarztpraxis für prophylaxe, bleaching, parodontose, zahnersatz in marl. Im kern gibt es eine. Die parodontose zählt zu der häufigsten ursache für zahnverlust im erwachsenenalter. Im allgemeinen sprachgebrauch werden die begriffe parodontose und parodontitis immer wieder gleichbedeutend benutzt. Im erwachsenenalter ist die parodontitis (parodontose) hauptursache für zahnverlust. Parodontose ist der häufigste grund für zahnverlust. Daher rechtzeitig zur schmerzfreien parodontosebehandlung um den erhalt der eigenen. Der auf eigenen zähnen abgestützte zahnersatz oder doch besser die implantatversorgung als eigenständige lösung? Diese fragen machen deutlich, dass die zahnersatzplanung bei einer parodontitis besonders schwierig ist.
Parodontose Zahnersatz Indeed recently is being hunted by users around us, maybe one of you. People are now accustomed to using the internet in gadgets to view image and video information for inspiration, and according to the name of this article I will discuss about Parodontose Zahnersatz.
- Schonende Parodontosebehandlung Im Zahnzentrum An Der Fluke : Ein Schwieriges Und Nicht Einfaches Thema Mit Der Ernährung Bei Einer Parodontose.
- Zahnersatz Bei Parodontose - Parodontose Ist Der Häufigste Grund Für Zahnverlust.
- Welcher Zahnersatz Ist Der Beste Bei Parodontose : Im Allgemeinen Sprachgebrauch Wird Heute Meist Von Der „Parodontose Gesprochen.
- Mundhygiene Das A Und O Bei Prodontose Parodontitis Zahnersatz Ungarn . Zahnarztpraxis Für Prophylaxe, Bleaching, Parodontose, Zahnersatz In Marl.
- Zahnersatz Aus Gold Bewahrte Dauerlosung Oder Eine Veraltete Methode Zahnarzt Praxis Ludwigshafen Prof Dr Dhom Mannheim : Man Unterscheidet Zwischen Der Apikalen Parodontitis (Von Der Wurzelspitze Ausgehend).
- Parodontitis Behandlung Zahnarztpraxis Lay Koblenz , Auch Die Noch Vorhanden Zähne Sind Meist Vom Knochenabbau Betroffen Und Ihrer Belastbarkeit Möglicherweise.
- Zahnzusatzversicherung Trotz Parodontose Zahnversicherung Wefox - Im Erwachsenenalter Ist Die Parodontitis (Parodontose) Hauptursache Für Zahnverlust.
- Behandlung Von Zahnfleischentzundung Parodontose In Troisdorf , Auch Die Noch Vorhanden Zähne Sind Meist Vom Knochenabbau Betroffen Und Ihrer Belastbarkeit Möglicherweise.
- Parodontitisbehandlung Wh Zahnarztpraxis Hannover - Die Parodontitis Ist Anfänglich Für Die Patientin/Den Patienten Meist Schmerzlos.
- Was Tun Bei Zahnverlust Durch Parodontose Implant24 Com - Daher Rechtzeitig Zur Schmerzfreien Parodontosebehandlung Um Den Erhalt Der Eigenen.
Find, Read, And Discover Parodontose Zahnersatz, Such Us:
- Zahnersatz Bei Parodontose Was Ist Die Beste Wahl Dentolo : Parodontitis Ist Der Häufigste Grund Für Zahnverlust Im Erwachsenenalter.
- Parodontitis Behandlung Zahnarztpraxis Lay Koblenz - Parodontose Ist Der Häufigste Grund Für Zahnverlust.
- Welcher Zahnersatz Ist Der Beste Bei Parodontose : Daher Rechtzeitig Zur Schmerzfreien Parodontosebehandlung Um Den Erhalt Der Eigenen.
- Dormagen Zahnfleischentzundung Parodontose - Bei Parodontose Handelt Es Sich Um Den Fortschreitenden Abbau Des Knochenapparates Im Vielfach Sind Bei Einer Parodontose Parallel Auch Das Auftreten Von Parodontitis Und Gingivitis Zu Beobachten.
- Parodontose Behandlung Furth Parodontitis Behandlung Zahnarzt Aalai , Die Parodontose Zählt Zu Der Häufigsten Ursache Für Zahnverlust Im Erwachsenenalter.
- Parodontitis Zahnarzt An Der Residenz Dr David Muller , Parodontitis, Häufig Auch Parodontose Genannt, Bezeichnet Eine Bakterielle Entzündung Des Zahnbettes (Den Zahn Umgebendes Und Stabilisierendes Gewebe Und Knochen).
- Parodontose 10 Haufige Fragen Auf Implanteer : Welche Symptome Habe Ich Bei Einer Parodontose?
- Zahnimplantate Trotz Parodontitis Zahnarzt Karlsruhe , Im Allgemeinen Sprachgebrauch Werden Die Begriffe Parodontose Und Parodontitis Immer Wieder Gleichbedeutend Benutzt.
- Zahnersatz Zahnarzt Celle Hirschfeld : Weitere Symptome Und Infos Zur Parodontosebehandlung Finden Sie Hier.
- Zahnprothese Der Herausnehmbare Zahnersatz Dentolo , Wer Seine Beißer Bis Ins Hohe Alter Behalten Möchte, Muss Sein Gebiss Schon In Jungen Jahren Pflegen.
Parodontose Zahnersatz . Parodontosebehandlung
Parodontitis Parodontose In Bad Krozingen Behandeln. Zahnarztpraxis für prophylaxe, bleaching, parodontose, zahnersatz in marl. Daher rechtzeitig zur schmerzfreien parodontosebehandlung um den erhalt der eigenen. Im erwachsenenalter ist die parodontitis (parodontose) hauptursache für zahnverlust. Der auf eigenen zähnen abgestützte zahnersatz oder doch besser die implantatversorgung als eigenständige lösung? Diese fragen machen deutlich, dass die zahnersatzplanung bei einer parodontitis besonders schwierig ist. Fester zahnersatz herausnehmbarer zahnersatz hilfe bei parodontose. Die parodontose zählt zu der häufigsten ursache für zahnverlust im erwachsenenalter. Empfohlene zahnärzte für parodontitis in neuss » parodontosebehandlung » mit 15 empfehlungen von patienten. Parodontose ist der häufigste grund für zahnverlust. Im kern gibt es eine. Parodontitis, häufig auch parodontose genannt, bezeichnet eine bakterielle entzündung des zahnbettes (den zahn umgebendes und stabilisierendes gewebe und knochen). Klicken sie jetzt auf das thema, das. Im allgemeinen sprachgebrauch werden die begriffe parodontose und parodontitis immer wieder gleichbedeutend benutzt. Auch die noch vorhanden zähne sind meist vom knochenabbau betroffen und ihrer belastbarkeit möglicherweise. Welche therapie ist besonders vielversprechend?
Die parodontitis ist anfänglich für die patientin/den patienten meist schmerzlos.
Man unterscheidet zwischen der apikalen parodontitis (von der wurzelspitze ausgehend). Parodontitis ist der häufigste grund für zahnverlust im erwachsenenalter. Zahnausfall ist nur ein problem älterer menschen? Verschiedene ursachen führen zur entstehung von parodontitis. Im allgemeinen sprachgebrauch werden die begriffe parodontose und parodontitis immer wieder gleichbedeutend benutzt. Eine parodontitis ist eine zahnfleischentzündung. Meint der begriff parodontose dasselbe wie parodontitis, gingivitis oder parodontopathien? Ihre moderne zahnarztpraxis in kaarst für prophylaxe, zahnersatz, implantate und bleaching. Im allgemeinen sprachgebrauch wird heute meist von der „parodontose gesprochen. Parodontitis, häufig auch parodontose genannt, bezeichnet eine bakterielle entzündung des zahnbettes (den zahn umgebendes und stabilisierendes gewebe und knochen). Auf dieser seite fassen wir alle wichtigen informationen zum thema parodontitis (parodontose) einschließlich ursachen. Das thema mit der parodontose ist für meine leser immer ein dauerbrenner. Bis zu 100 % zuzahlung auf zahnersatz. Welche therapie ist besonders vielversprechend? Im kern gibt es eine. Sie gehört zu den häufigsten erkrankungen und wird in die apikale und marginale parodontitis unterteilt. Daher rechtzeitig zur schmerzfreien parodontosebehandlung um den erhalt der eigenen. Die parodontitis ist anfänglich für die patientin/den patienten meist schmerzlos. Der auf eigenen zähnen abgestützte zahnersatz oder doch besser die implantatversorgung als eigenständige lösung? Bei der parodontose, die im volksmund oft fälschlicherweise auch als paradontose bezeichnet wird, handelt es sich eigentlich um eine parodontitis. Im erwachsenenalter ist die parodontitis (parodontose) hauptursache für zahnverlust. Klicken sie jetzt auf das thema, das. Die parodontose beschreibt dasselbe krankheitsbild wie die parodontitis. Da der bakterielle belag bei fortschreitender erkrankung auch die zähne gefährdet, sollte bei einer parodontitis schnell ein zahnarzt aufgesucht werden. Man unterscheidet zwischen der apikalen parodontitis (von der wurzelspitze ausgehend). Weitere symptome und infos zur parodontosebehandlung finden sie hier. Die diagnose stellt der zahnarzt. Welche symptome habe ich bei einer parodontose? Die parodontitis geht mit einem halteverlust (abbau des zahnhalteapparates, parodontose) einher. Die parodontose zählt zu der häufigsten ursache für zahnverlust im erwachsenenalter. Auch die noch vorhanden zähne sind meist vom knochenabbau betroffen und ihrer belastbarkeit möglicherweise.


